![]() |
![]() |
![]() ![]() |
![]() |
骨粉硬性支撑
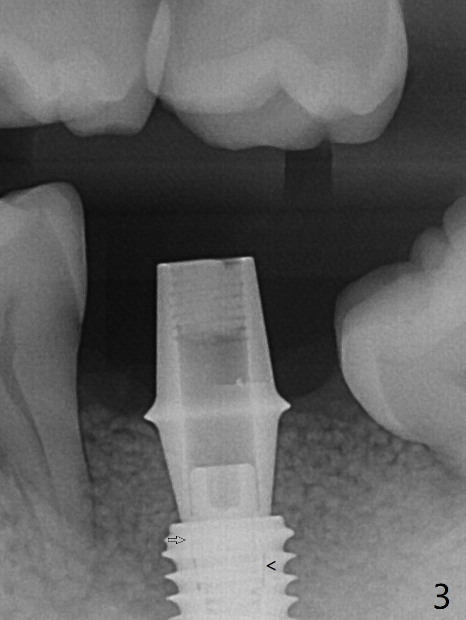
植骨成功必须有两个成分,软硬组织,牙龈提供血运和口袋,而硬组织防止骨粉塌陷。例如即刻植体和基台是可靠,免费(与钛网而言)硬性支撑,今天添加另外一个天然硬性支撑,那就是预后不是很好邻牙。40岁男左下7严重骨质吸收,颊侧,舌侧骨板缺失,骨粉(红色圆圈)将放置6远中,让它发挥余热。8暂时保留,这样7导板稳定些,植入更准确(图一),之后拔除8。结果术中改变计划,得寸进尺,也想保留8,理由骨粉更稳定(图二:*),尤其是远中。6,8牙根面做了刮治。为了证实基台完全就位,又拍摄一张咬翼片(图三),这时植体螺纹清晰。植体与基台之间有两个重要接触部分,第一,图三空箭头,两者必须完全融合(必须没有间隙),理论上可以形成冷焊接(cold welding);第二,短箭头,公母六角形(hex)相接,之间有间隙。如果初步稳定性低,选择愈合基台,与植体交接也必须有X光片验证,两者之间不应该有间隙。如果有间隙,愈合过程,愈合基台很可能脱落,造成病人不安,增加我们工作量,破坏临床进展。图三:术后即刻。术后5.5月(图四)骨粉丧失许多,牙冠外面使用牙周敷料或者直接使用树脂敷料,可能会减少骨粉流失。临床上智齿近中好像没有明显倒凹,取模,估计以后食物坎塞不会太严重。术后6月(牙冠粘固,拧紧25Ncm,图五),螺纹没有暴露。
Prevent Molar Periimplantitis (Protocols, Table) No Caries 第二磨牙即种 Torque
Xin Wei, DDS, PhD, MS 1st edition 11/10/2020, last revision 05/12/2021