![]() |
![]() |
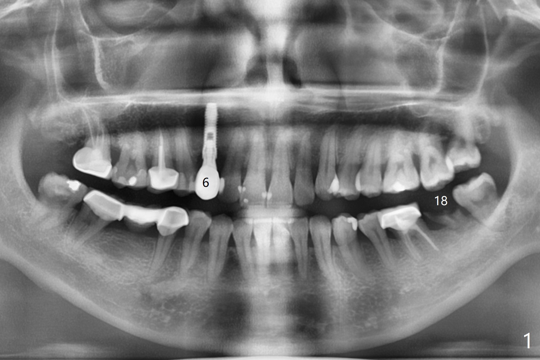
Small is Charm
A 37-year-old woman, dental phobic, agrees to have implant at #18 (Fig.1). Since the mesiodistal and buccolingual widths of the edentulous area are moderate (Fig.2), a 5x8.5 mm implant seems to be big; a 4.5 mm one is better. The buccal and lingual bone resorption appears to be severe at #6 of the same patient postop.
Return to
Lower
Molar Immediate Implant,
Prevent Molar Periimplantitis (Protocols,
Table)
Trajectory II
Metronidazole
Xin Wei, DDS, PhD, MS 1st edition
11/21/2019, last revision
12/03/2019