![]() |
![]() |
![]() |
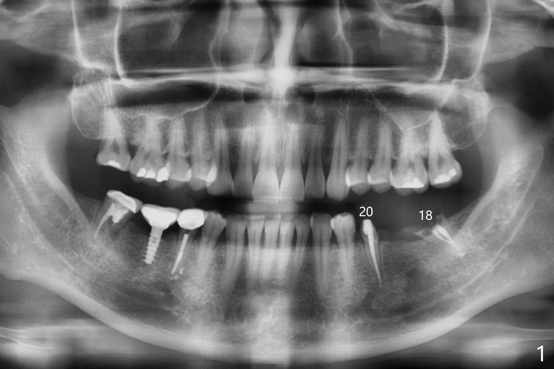
Smaller Implants for Thicker Surrounding Bone
A 46-year-old woman has a failed FPD 18-20 (Fig.1). To have thicker buccal bone, the 5 mm implants at #18 (Fig.2) and 19 (Fig.3) seem to be a little large. Smaller (4.5 mm) will be more appropriate so that the coronal threads of the implant at #18 will be more securely covered by the regenerating bone. In the same manner, the implant to be placed in the healed site of #19 will have more buccal bone when the diameter of the implant reduces.
Return to
Lower
Molar Immediate Implant,
Prevent Molar Periimplantitis (Protocols,
Table),
Trajectory II,
Metronidazole
30
Xin Wei, DDS, PhD, MS 1st edition
07/01/2019, last revision
07/27/2019