![]() |
![]() |
![]() |
![]() |
![]() |
![]() |
近中窝植入
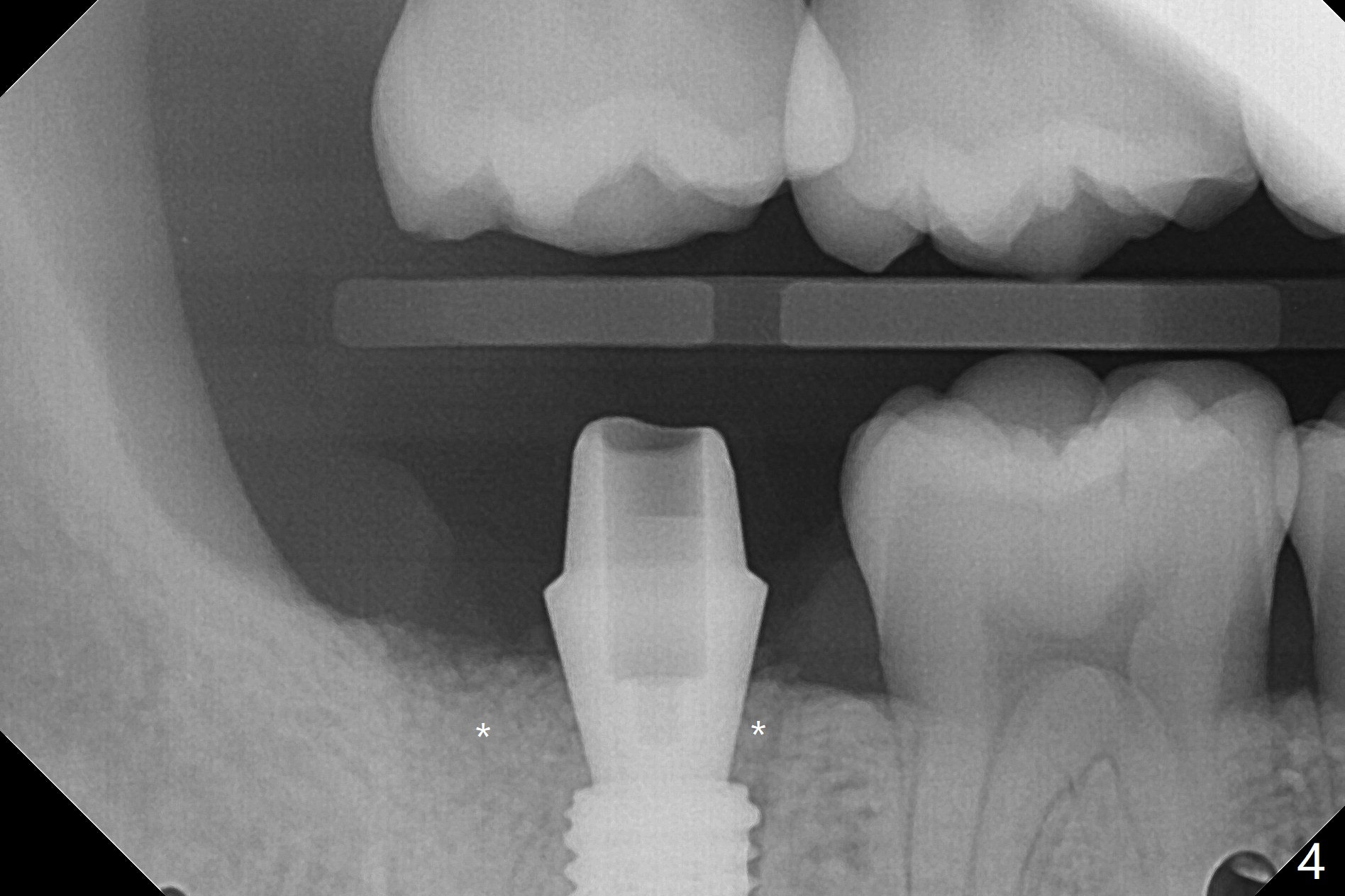
考虑到31号牙严重骨质吸收尤其是远中窝根尖(图一:*),实验室建议钻洞直径要比植体小三号(3.5毫米钻头;5.0毫米植体),其实行不通,使用4.0毫米钻头后,勉强植入4.5毫米报废植体(图一),阴差阳错:植体进入近中牙槽窝,植体四周都有骨壁包绕,包括远中:中隔(S)。最后为了使用5x11.5毫米植体,必须用4.5毫米钻头和5毫米皮质骨攻螺纹(到第三格,多3毫米,图二);放置基台好像没有就位。使用6毫米profile drill(好像去除舌侧中隔)后,手感基台就位,但是根尖片显示(图三)与图二没有区别(植体太粗,看不清楚植体与基台接触)。放置粘性骨粉后(图四),制作临时牙冠,放置PRF后,衬里多次增加固定和与牙龈密合度。术后医嘱包括手术区不使用水牙线。术后一周复诊询问骨粉游出问题。如果第二下磨牙种植能够进入近中窝,不必使用导板,4.5毫米足够,X光片观察基台就位也容易。术后三个月骨粉好像转变成正常骨质(图五,六, 30 Ncm)。
Return to Prevent Molar Periimplantitis (Protocols, Table) No Caries Torque Xin Wei, DDS, PhD, MS 1st edition 05/04/2021, last revision 08/08/2021