GEM21S or PRF

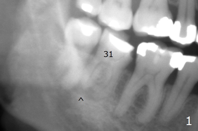
A 57-year-old skinny woman does not like dental X-ray or treatment.  After several years of delay, she agrees to have #31 extracted in the last day of Coronavirus Lockdown (Fig.1).  In addition to PARL (^), the buccal gingiva is recessive.  Take preop photos.  If the vein is thin, use GEM21S.  In fact it is the case.  GEM21S is chosen (I).

Return to No Deviation     Plug     GEM21S Cases
Xin Wei, DDS, PhD, MS 1st edition 03/17/2020, last revision 03/31/2020