![]() |
![]() |
|
![]() |
![]() |
![]() |
根裂
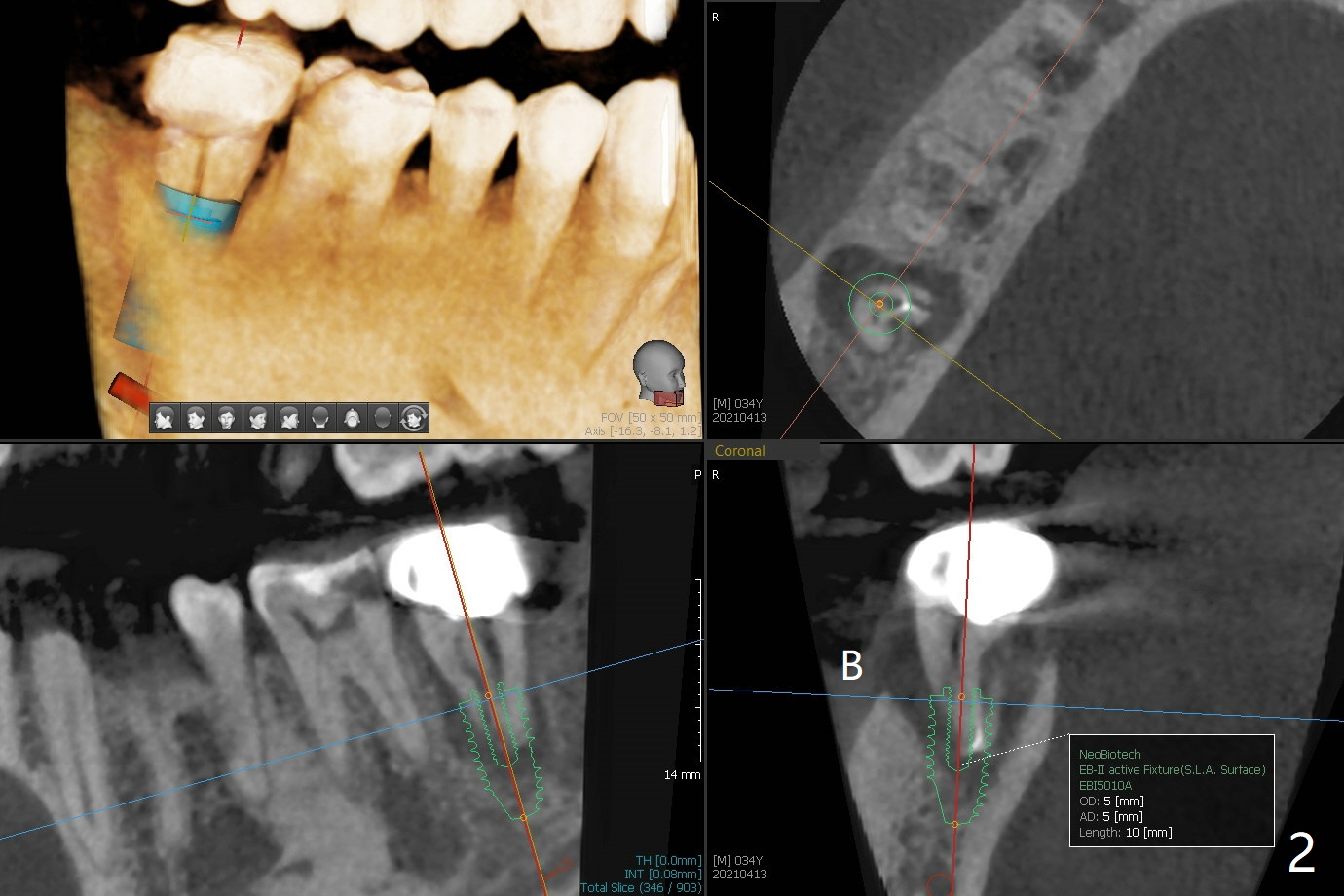
34岁男抱怨右下7根管治疗后牙齿松动,根尖片证实根裂(图一),第二前磨牙和第一磨牙之间有致密骨质(图一:*,图三)。尽管患牙周围骨质吸收严重,尤其是颊侧牙槽嵴(图二:B),必须做即刻种植。植骨有时效果不佳,没有减少手术难度。拖延治疗可能增加对合牙过度萌出,尤其是咬合力大病人。虽然植体颊侧螺纹有暴露危险(图四:>),但是颊侧牙龈附着很长(双箭头),结合基台(图五:粉红色)和临时牙冠(白色),牙龈创造有利的植骨床(红色:骨粉)。
Return to
Prevent Molar Periimplantitis (Protocols,
Table)
(No
Caries)
Protect
Graft
Metronidazole
第二磨牙即种
手术
Xin Wei,
DDS, PhD, MS 1st edition 04/13/2021, last revision
05/02/2021