![]() |
![]() |
![]() |
![]() |
Extract Tilted 2nd Molar for 1st Molar Implant
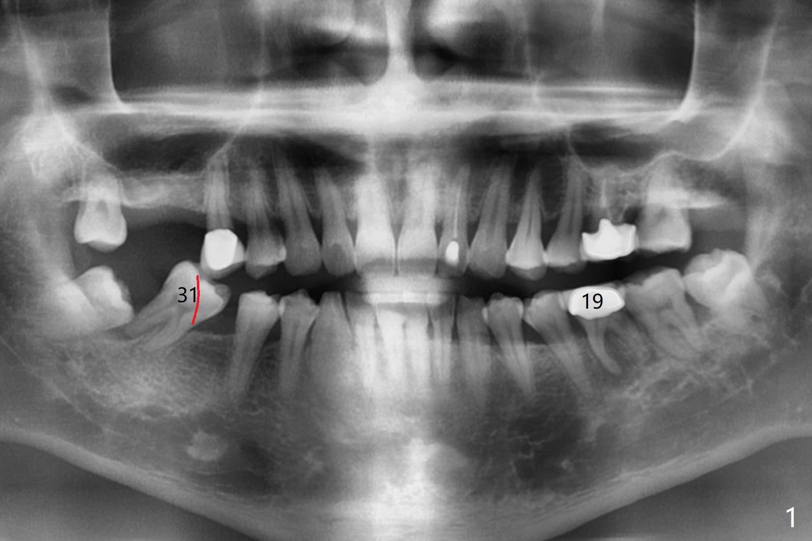
A 45-year-old man requests extraction of #19 because of endodontist's diagnosis of root fracture (Fig.1). CT shows typical apical periodontitis (Fig.2) without sign of root fracture (profilogram, data not shown), although the buccal plate of the mesial root is lost (Fig.3). Ideally 2 implants should be placed in UR and LR quadrants to prevent #19 root fracture after RCT (Fig.4). Alternative way is to place an implant at #3 (5x7.3 mm) and #30 immediately after #31 extraction. In fact a surgical guide for #30 will be fabricated resting the distal aspect of the tilted tooth #31 after sectioning the mesial portion in the lab (Fig.1 red line).
Return to
Prevent Molar Periimplantitis (Protocols,
Table)
No Deviation
Clindamycin Metronidazole
No Antibiotic
Ortho Cases
Plug
Professionals
Shield
Waterlase
Cement
GEM21S
Anderson
Xin Wei,
DDS, PhD, MS 1st edition 06/08/2020, last revision
06/09/2020