![]() |
![]() |
![]() |
![]() |
Immediate Implant vs. Socket
Preservation
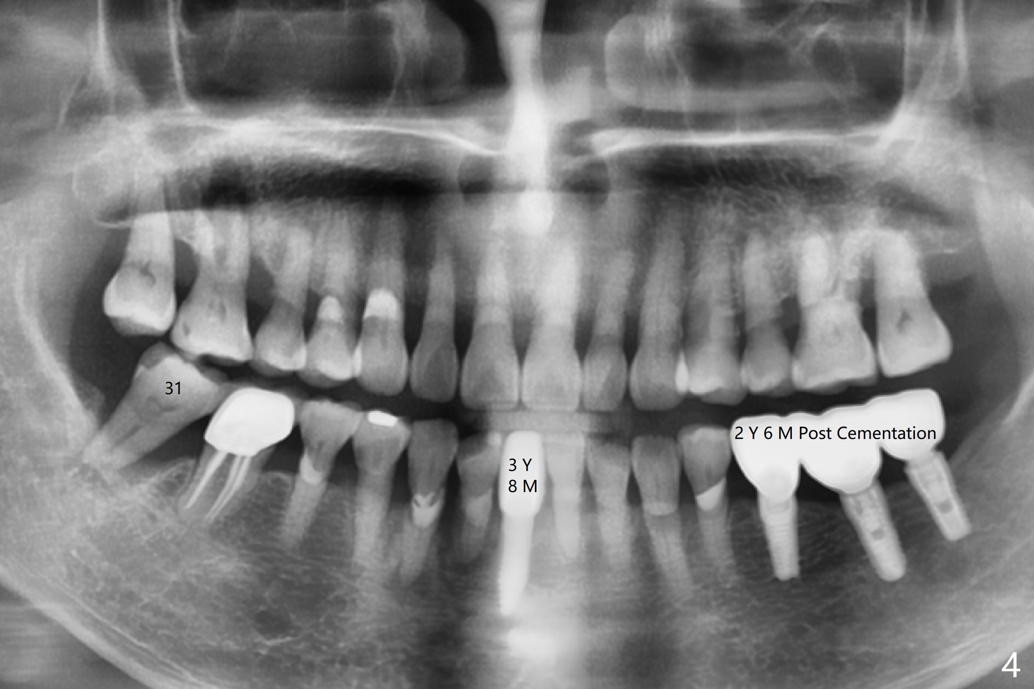
A 79-year-old woman returns to clinic suddenly, requesting extraction of the tooth #31 with mobility III (3 years 8 months post cementation for #25; 2 years 6 months post cementation for #18-20; Fig.4). An immediate implant is planned (Fig.1). After extraction, the large socket has relatively small opening, seemingly easy to keep bone graft in place. The immediate implant with 2-3 mm native bone may not have primary stability, most likely losing its ability to hold bone graft. Therefore socket preservation is conducted at #31. In contrast there is enough bone for an immediate implant at #15 (Fig.2) with palatal root fracture (Fig.3 (palatal view)).
Return to
Upper
Lower
Molar Immediate Implant,
Prevent Molar Periimplantitis (Protocols,
Table),
Trajectory II,
Clindamycin
Xin Wei, DDS, PhD, MS 1st edition 12/14/2018, last revision 08/31/2019