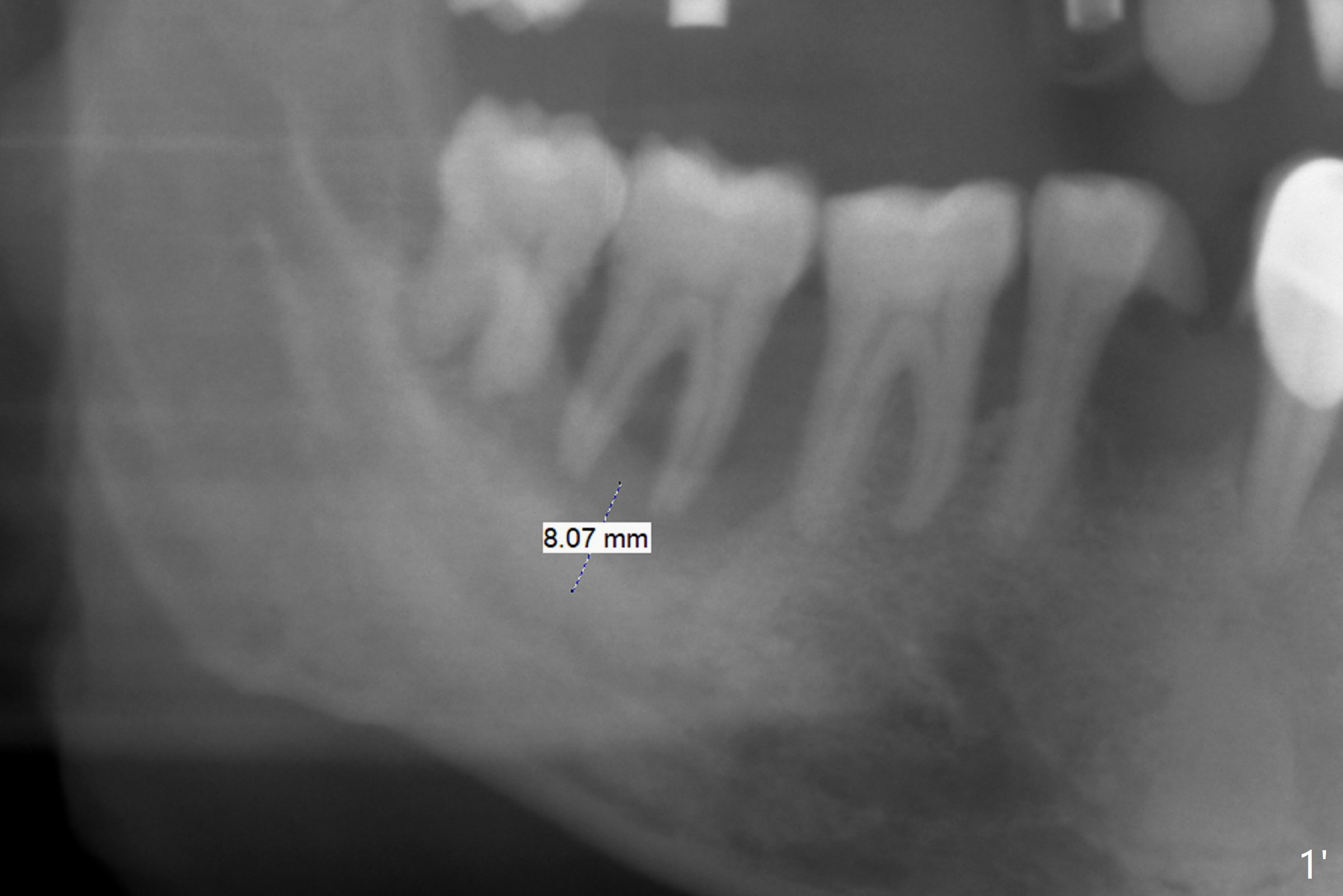
After having upper implants placed (9-11, 15 UR), a 46-year-old man requests taking care of the loose tooth at #31 and the missing tooth #28 next (Fig.1).  Bone height is limited at #31 (Fig.2); if hemorrhage and pain are controllable, an extra wide Bicon implant will be placed.  In the posterior region with unfavorable implant crown ratio, there is less likelihood to separate Bicon abutment from its implant because of friction mechanism.   But 3-5 mm stoppers and drills are from another implant system (regular and wide kits).  CT may be taken intraop if needed.  PRF membranes will be used to close the large socket opening with a hole for a healing abutment penetration if instructed.  Autoclave a needle with endo syringe to inject PRF liquid into the tissue to facilitate tissue healing.

Limited Bone Height

Xin Wei, DDS, PhD, MS 1st edition 02/17/2018, last revision 02/18/2018