![]() |
![]() |
![]() |
![]() |
![]() |
![]() |
![]() |
![]() |
![]() ![]() |
Socket Preservation with Sticky Bone
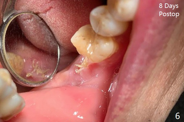
After removing the fractured apices of the tooth #31 (Fig.1,2), it is extremely difficult to start osteotomy with 7.3 mm stopper free hand. Since sticky bone (Fig.3,4) and PRF membrane are available, socket preservation is performed with bone condenser and PGA (Fig.5). If a surgical guide were fabricated, immediate implant would finish quicker. The socket opening is almost closed without pain or swelling 8 days postop (Fig.6). Clinically, the ridge is apparently wide with enough keratinized gingiva 4.5 months postop. The original ridge height seems to restore as the sticky bone undergoes condensation vertically (Fig.7, as compared to Fig.5). With bone graft, a 1.5 mm longer implant could be placed (Fig.8). The gingival pocket (Fig.9 white dashed line) seems to be an excellent cultivation bed for bone graft, although the latter also undergoes buccolingual shrinkage coronally (Fig.10).
Return to No Deviation 开场白 Chinese 正确缝合技术 Xin Wei, DDS, PhD, MS 1st edition 06/16/2020, last revision 10/31/2020