![]() |
![]() |
![]() |
![]() |
![]() |
![]() |
Small and Regular
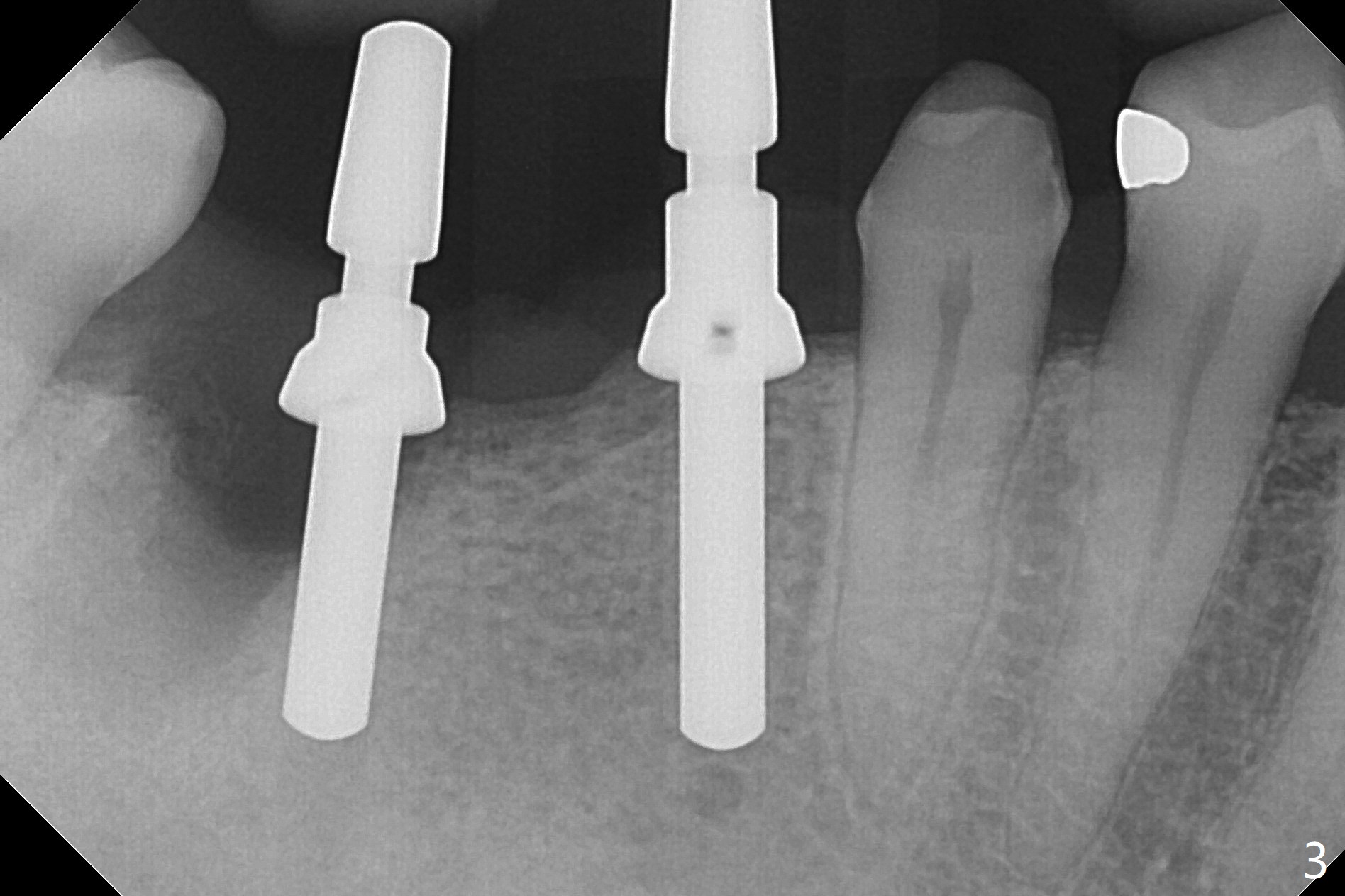
The edentulous area at #30 looks narrow after #31 extraction (Fig.1) and after incision (Fig.2). As planned, osteotomy is established at #30 as a premolar and at the mesial slope of #31 socket (Fig.3). Following adjustment of the trajectory at #30 and sequential osteotomy until 3.5x11.5 mm, two of 4x10 mm dummy implants are inserted with stability as well as dummy abutments (Fig.4). Final implants are 4x11.5 mm with insertion torque > 50 Ncm; after suturing, abutment margins are subgingival, particularly at #31 (Fig.5 (*: Vera Graft)). Periodontal dressing is applied. Provisional will be fabricated when the wound heals. It appears that the small and regular implants are appropriate for the narrow mesiodistal space at #30 and 31. There appears to be bone growth around the implants nearly 4 months postop (Fig.6).
Return to Lower Molar Immediate Implant, Prevent Molar Periimplantitis (Protocols, Table), Armaments Xin Wei, DDS, PhD, MS 1st edition 01/02/2018, last revision 09/02/2018