![]() |
![]() |
![]() |
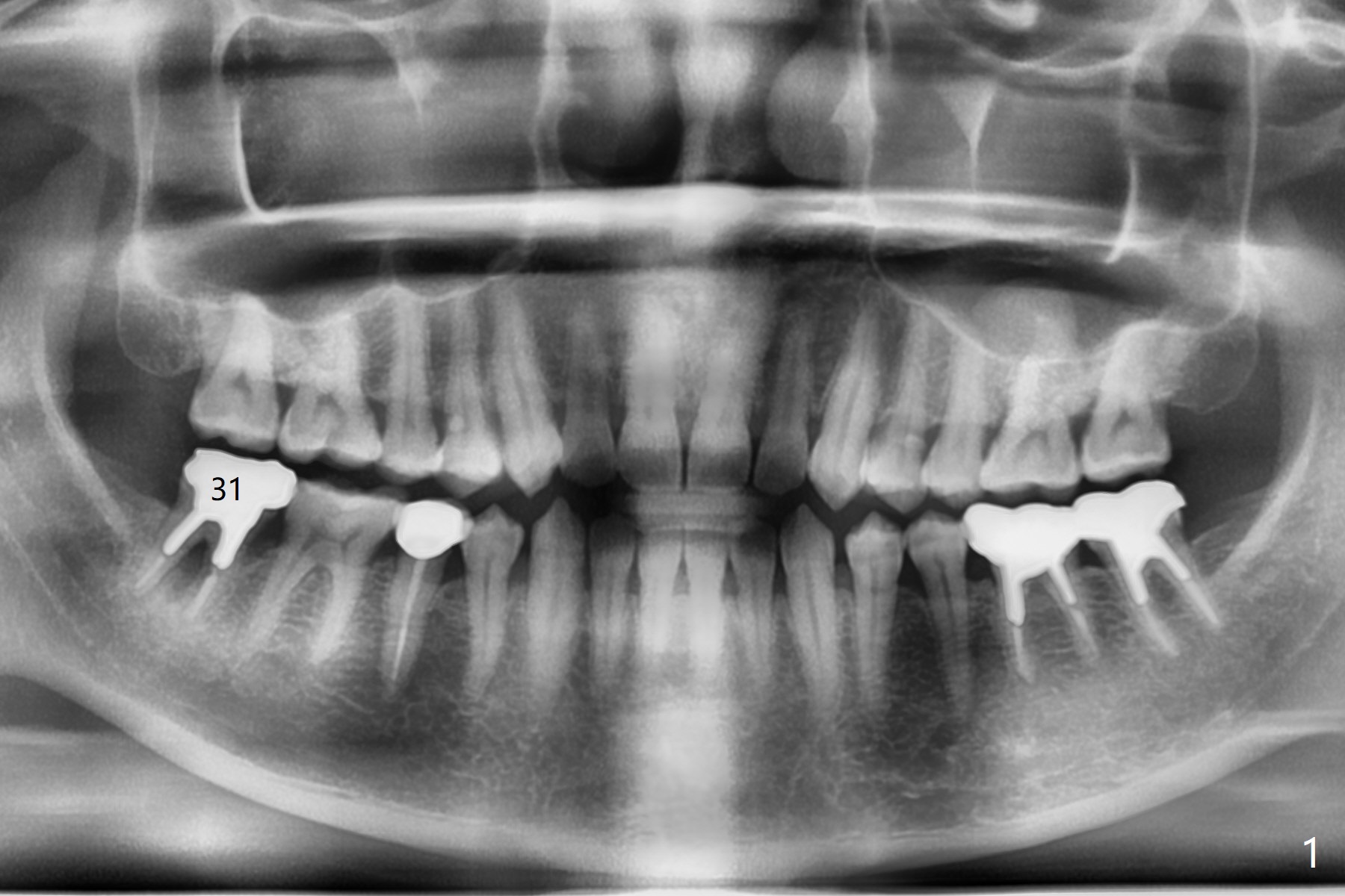
More Bone When Implant Placed in Mesial Socket
A 36-year-old woman has had an abscess and bone loss associated with the tooth #31 (Fig.1). It appears that there is less bone to support an implant when it is placed in the septum (Fig.2 S) than in the mesial socket (Fig.3 M).
Return to
Prevent Molar Periimplantitis (Protocols,
Table)
Protect
Graft
Clindamycin
种植杂谈
手术
Xin Wei,
DDS, PhD, MS 1st edition 07/12/2021, last revision
08/04/2021