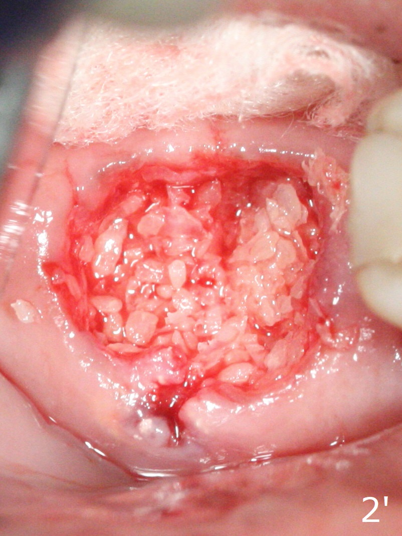
Amazingly bone graft granules seem to stick to each other (semi sticky bone (Fig.2), as compared to PRF).

Semi Sticky Bone     Last     Next     Lower Magnification

Xin Wei, DDS, PhD, MS 1st edition 03/12/2020, last revision 03/22/2020