![]() |
![]() |
骨质疏松
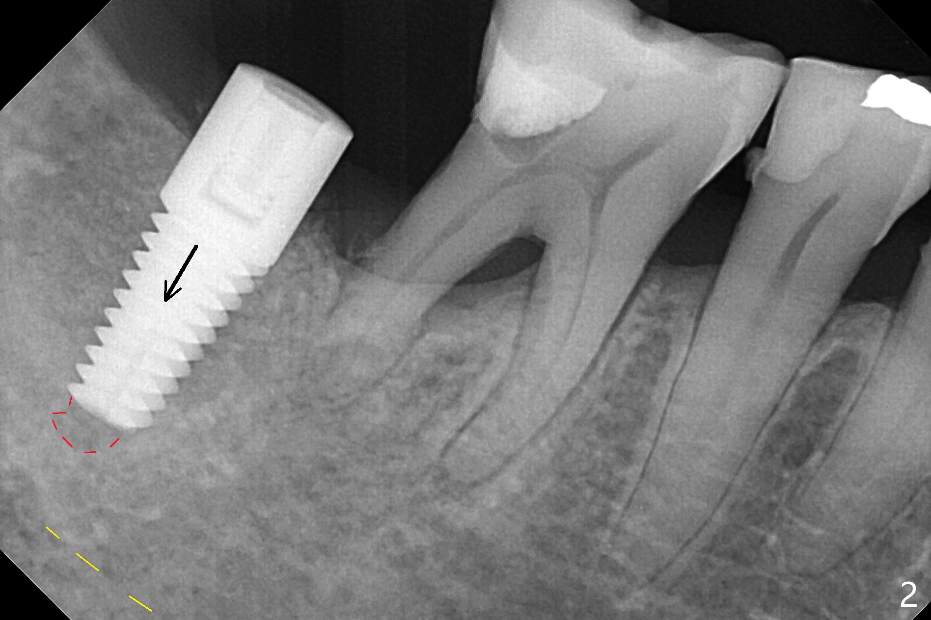
59岁女,吃素,右下7拔除植骨(使用血小板因子),术后7个月证实颊侧骨板再生,但是骨质密度低,导板取模后,家庭医生诊断骨质疏松症,开始服用钙片和Fossamax,后者每周一次,已经四周了。今天她回来植牙(术后10个月),术前决定使用小号钻头,术中的确发现骨质疏松,几乎没有骨削。4毫米钻头完成钻洞,4.5毫米报废植体没有什么稳定性,5毫米植体植入(部分徒手)扭力~45 Ncm(图一(红虚线:根尖钻洞;黄虚线:下齿槽管)),最后将植体种深些(图二:箭头)。
Return to
No
Caries
Xin Wei,
DDS, PhD, MS 1st edition 01/21/2021, last revision
01/21/2021