![]() |
![]() |
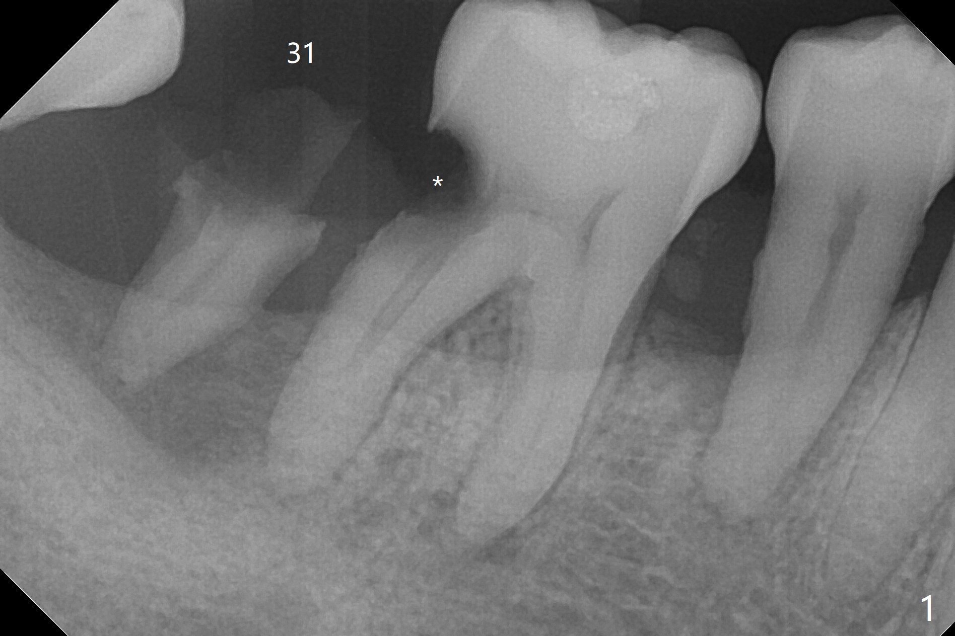
Socket is Larger than Residual Root
A 55-year-old woman has not visited dentists for the last 8 years. She requested extraction of the residual root of #31, although she is sensitive to cold in the area (caries in DO of #30, Fig.1: *). Bone graft was not prepared until the root was taken out. The socket was too big to heal by itself for implant. Bleeding is controlled by insertion of gauze with 1:100,000 Epinephrine. With consent, cortical bone was placed after mixing with blood (Fig.2) and covered with 8x8 mm BioXclude. Acrylic dressing is applied with intention to engagement into the DO of #30 for retention (Fig.2 >). Return to Protect Graft 尖牙即种 Xin Wei, DDS, PhD, MS 1st edition 05/24/2021, last revision 05/31/2021