![]() |
![]() |
![]() |
![]() |
![]() ![]() |
让活动托牙恢复功能
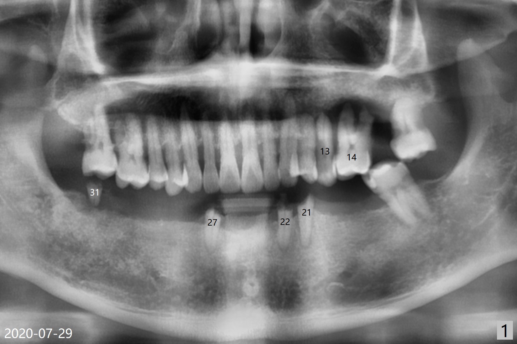
60岁男两年前回国制作下颌活动假牙,之后没有什么护理,五个基牙四个坏的厉害(图一(上面):21,22,27,31),初步计划:21,22,27号牙根管治疗(图二,三),31号牙拔除种植(申请保险,图四),都装上球状基台(ball abutment),增加托牙稳定性。当牙根基牙不行时,再逐步改做植牙。深洗和14号牙(图一)拔出后十四天病人回来进行27号牙(右下3)根管治疗(图五,六),工作长度13毫米,合适打桩做牙冠吗(原有局部托牙有卡环(Clasp and rest)?还是安置球冒更恰当?
Return to
Lower
Molar Immediate Implant,
Prevent Molar Periimplantitis (Protocols,
Table)
No Deviation
Clindamycin Metronidazole
No Antibiotic
Overdentures
Xin Wei,
DDS, PhD, MS 1st edition 08/02/2020, last revision
04/25/2021