![]() |
![]() |
|
![]() |
![]() |
![]() |
Narrow Ridge with Thick Lingual Plate M
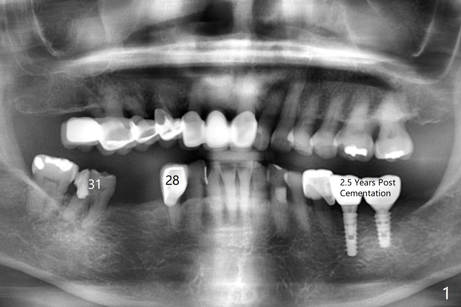
A 71-year-old woman has failed retainer at #31 (Fig.1). Implants will be placed at #31 and 29 for a FPD (Fig.2,3, as compared to Fig.4,5). The ridge at #29 is narrow with thick lingual plate. To avoid buccal deviation, coronal osteotomy overprep will be conducted.
Return to
Lower
Molar Immediate Implant,
Prevent Molar Periimplantitis (Protocols,
Table)
No Deviation
No Antibiotic
Shield
18/19
Xin Wei, DDS, PhD, MS 1st edition
01/06/2020, last revision
01/18/2020