![]() |
![]() |
How to
Treat?
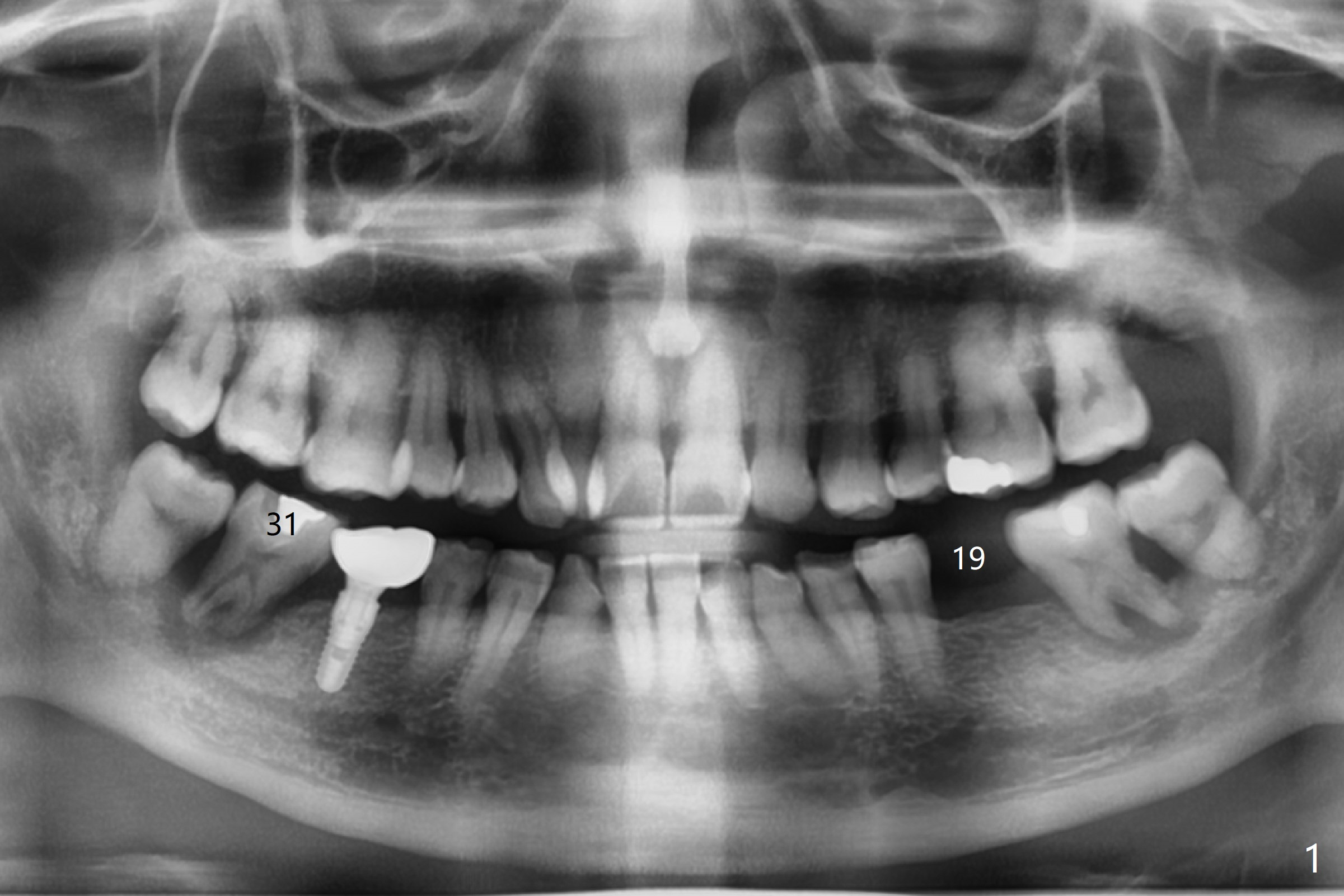
A 50-year-old man with severe chronic periodontitis and bruxism returns to clinic with chief complaint of a loose bottom right back tooth at #31 after implant placement at #19 and 30 (Fig.1,2). How to treat this case?
Return to Lower Molar Immediate Implant, Prevent Molar Periimplantitis (Protocols, Table), Trajectory, Clindamycin Metronidazole No Antibiotic
Xin Wei, DDS, PhD, MS 1st edition 12/30/2018, last revision 01/08/2019