Study of GEM21S in Promoting Lower 3rd Molar Socket Healing

Ten of healthy patients who need extraction of 2 lower 3rd molars simulta-neously will be recruited.  They will enter 2 studies (5 each).  The first study determines whether the osteo-conductive matrix, ß-TCP (beta tricalcium phosphate) promotes bone regeneration.  The 2nd one compares the efficacy of PRF vs. rhPDGF-BB (recombinant human platelet derived growth factor) with using the same osteo-conductive matrix, ß-TCP (beta tricalcium phosphate).  The third study compares cortical allograft with ß-TCP using rhPDGF-BB.   The side (#17 vs. 32) of using the test materials will be randomly chosen.

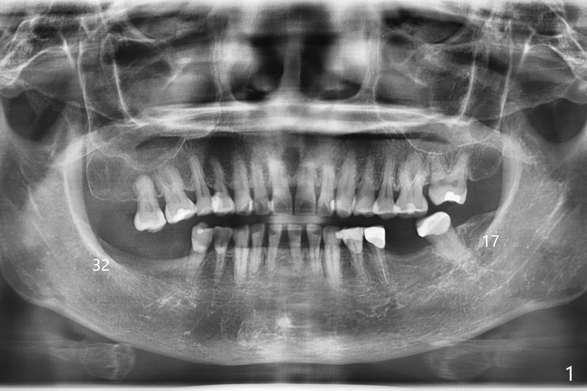
Panoramic X-ray (full mouth (preop, Fig.1), posterior segment (not shown (reduced radiation); immediately and 3-4 months postop)) will be taken.  The socket dimension (mesiodistal and vertical (height)) will be measured as well as bone density (Fig.2).  In fact it is impossible to measure bone density using panoramic X-ray.  CT should be taken.  The results of the study will reveal whether the combination of rhPDGF-BB and cortical allograft promotes hard tissue healing in 3-4 months.  If there are 2 sockets (mesial and distal), bone density will be recorded twice and average will be obtained for the study.

Return to No Deviation       Plug     GEM21S Cases
Xin Wei, DDS, PhD, MS 1st edition 03/07/2020, last revision 05/08/2020