![]() |
![]() |
![]() |
![]() |
FC/Magicore
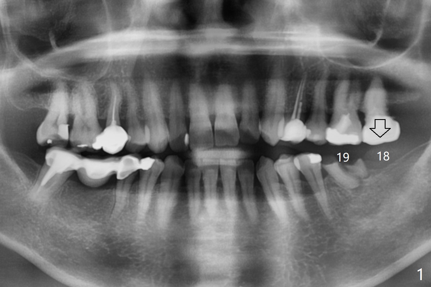
A 57-year-old woman agrees to have implants at #18 and 19 (Fig.1). Since the tooth #15 is supraerupted and there is limited vertical space at #18 (Fig.3), Magicore and FC will be placed at #18 and 19, respectively (Fig.3,2).
Return to
Lower
Molar Immediate Implant,
Prevent Molar Periimplantitis (Protocols,
Table),
Trajectory II,
No Antibiotic
Xin Wei, DDS, PhD, MS 1st edition
08/17/2019, last revision
09/25/2019