![]() |
![]() |
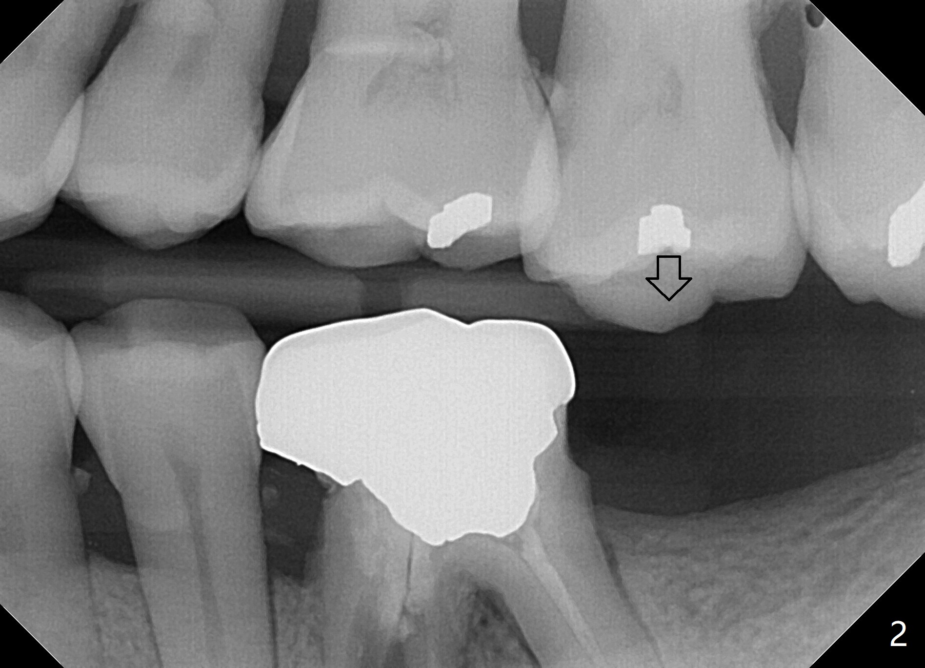
口腔失常起源于缺失第二磨牙
49岁男半年前要求粘固左下6牙冠,近中根纵裂,与7缺失有关,前磨牙牙根特别长,说明咬合力大,也是纵裂原因。最近他回来因为右下6远中舌侧牙尖折裂,全面X-ray检查显示左上7延长(图二:箭头),所以第二磨牙缺失是口腔修复物容易失败原因之一,影响口腔功能很大,很难修复。
Return to
Prevent Molar Periimplantitis (Protocols,
Table)
No
Caries
Clindamycin Metronidazole
No Antibiotic
第二磨牙即种
Xin Wei,
DDS, PhD, MS 1st edition 04/18/2021, last revision
04/18/2021