![]() |
![]() |
![]() |
![]() |
Implant Diameter M
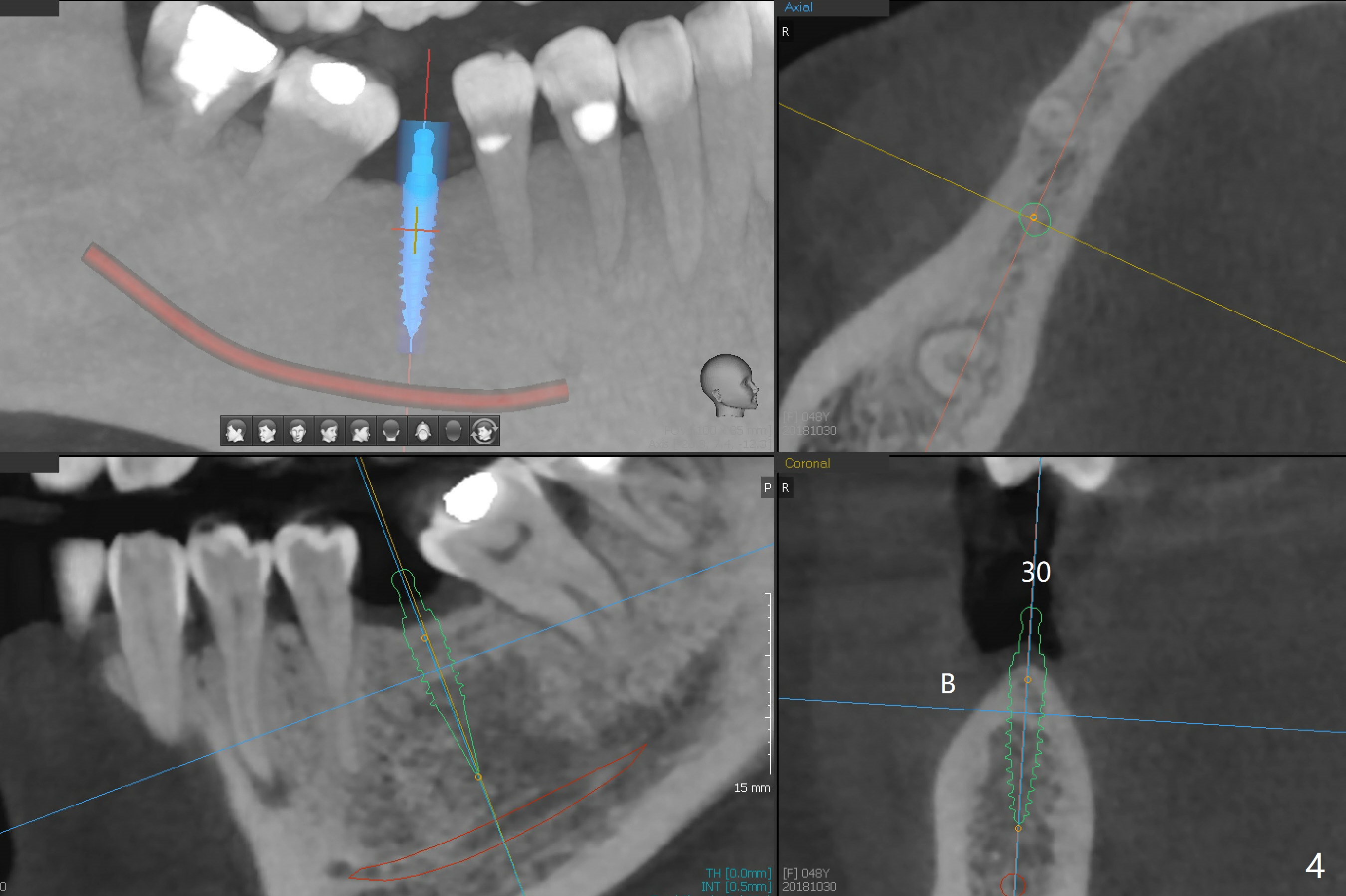
A 48-year-old woman, dentophobic, presents to clinic with request of redo #8,9 composite, which have dislodged twice in the last 6 months. Restoration failure is at least in part due to partial edentulism (#18,19,30, Fig.1). After discussion, she agrees to have implants at #18 and 19 first with guide (Fig.2,3). An ideal treatment plan for #30 (narrow mesiodistal space) would be extraction of #32 (ML fracture), uprighting of #30 and placement of a normal diameter implant. Considering dentophobia and living far from the office, a practical option will be a 3x12 mm 1-piece implant (Fig.4).
Return to
Lower Molar
Immediate Implant, No Deviation,
Ortho Cases
Xin Wei, DDS, PhD, MS 1st edition 10/30/2018, last revision 01/11/2020