![]() |
![]() |
![]() |
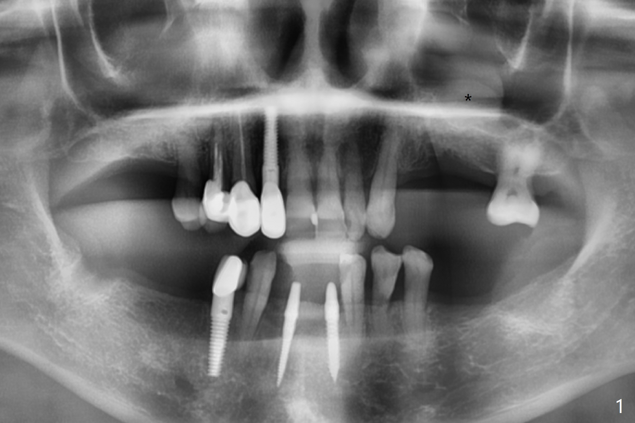
Guide for Posterior Implants
A 74-year-old woman agrees to have implants at #12,14 (for FPD),18 and 19 with guide. Bone height is limited in the molars (Fig.2,3). There is a polyp in the left sinus (Fig.1 *).
Return to
Upper
Lower
Molar Immediate Implant,
Armaments,
25
Xin Wei, DDS, PhD, MS 1st edition 08/07/2018, last revision 09/16/2018