![]() |
![]() |
![]() |
![]() |
#30 Immediate #31 Delayed Implants
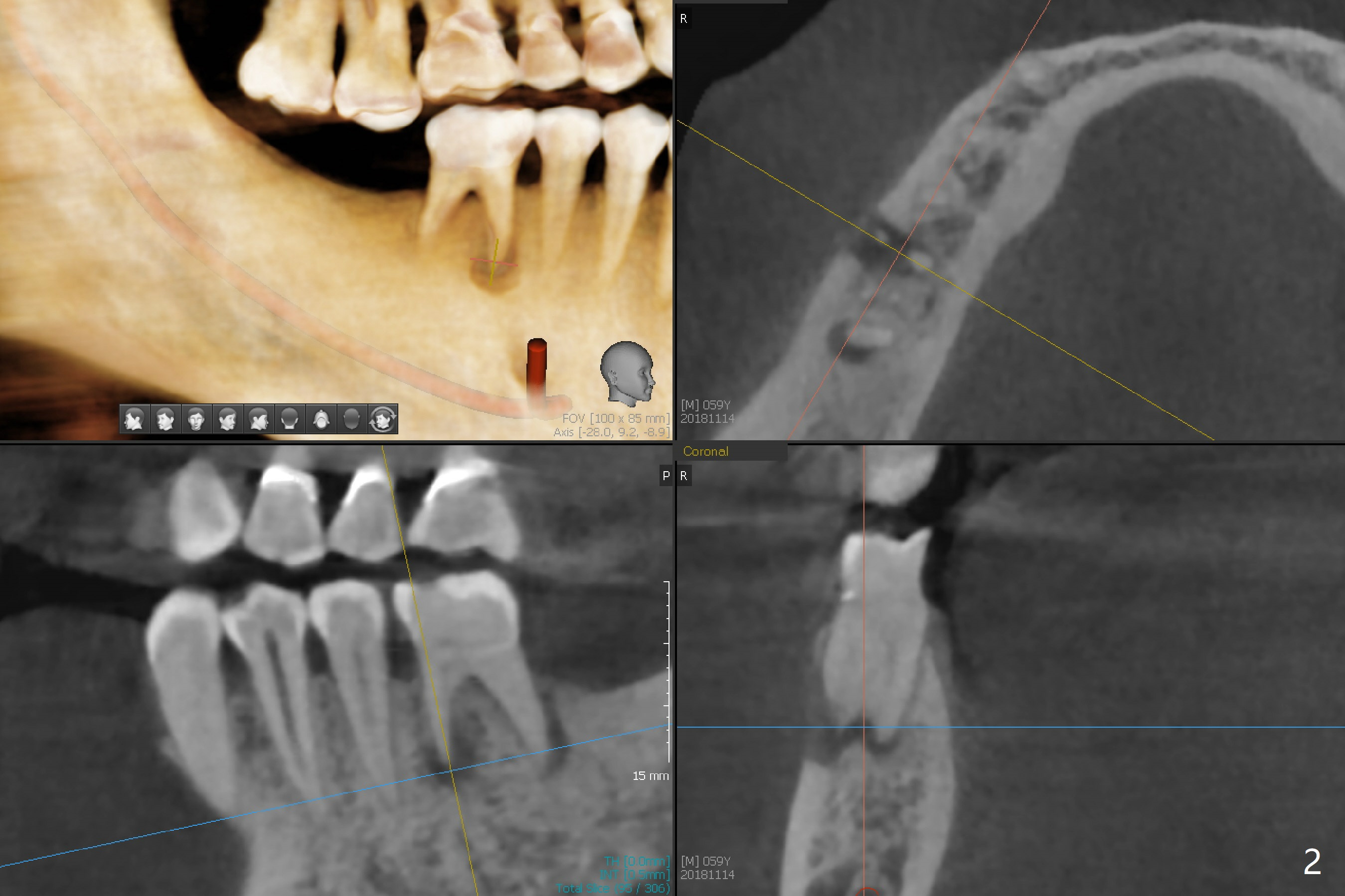
A 59-year-old man has subgingival fracture of the lingual cusps of the tooth #30 (Fig.1) with PARL, especially of the mesial root (Fig.2). An immediate implant will be placed slightly distolingually (Fig.3), while the delayed implant at #31 will be placed in a restorative position (Fig.4). Treat plan orthodontic intrusion of the tooth #2 if the latter is salvageable with periodontal lesion (Fig.1). Keep the tooth #1 in case bands and segmental wire are needed. It will be extracted prior to impression. After extraction, place a bony anchor pin at #31 for #30 osteotomy. When an implant is placed at #30, place a fixture anchor pin and finish osteotomy at #31.
Return to
Lower
Molar Immediate Implant,
Prevent Molar Periimplantitis (Protocols,
Table),
Trajectory,
Clindamycin
Xin Wei, DDS, PhD, MS 1st edition 11/27/2018, last revision 01/12/2019