![]() |
![]() |
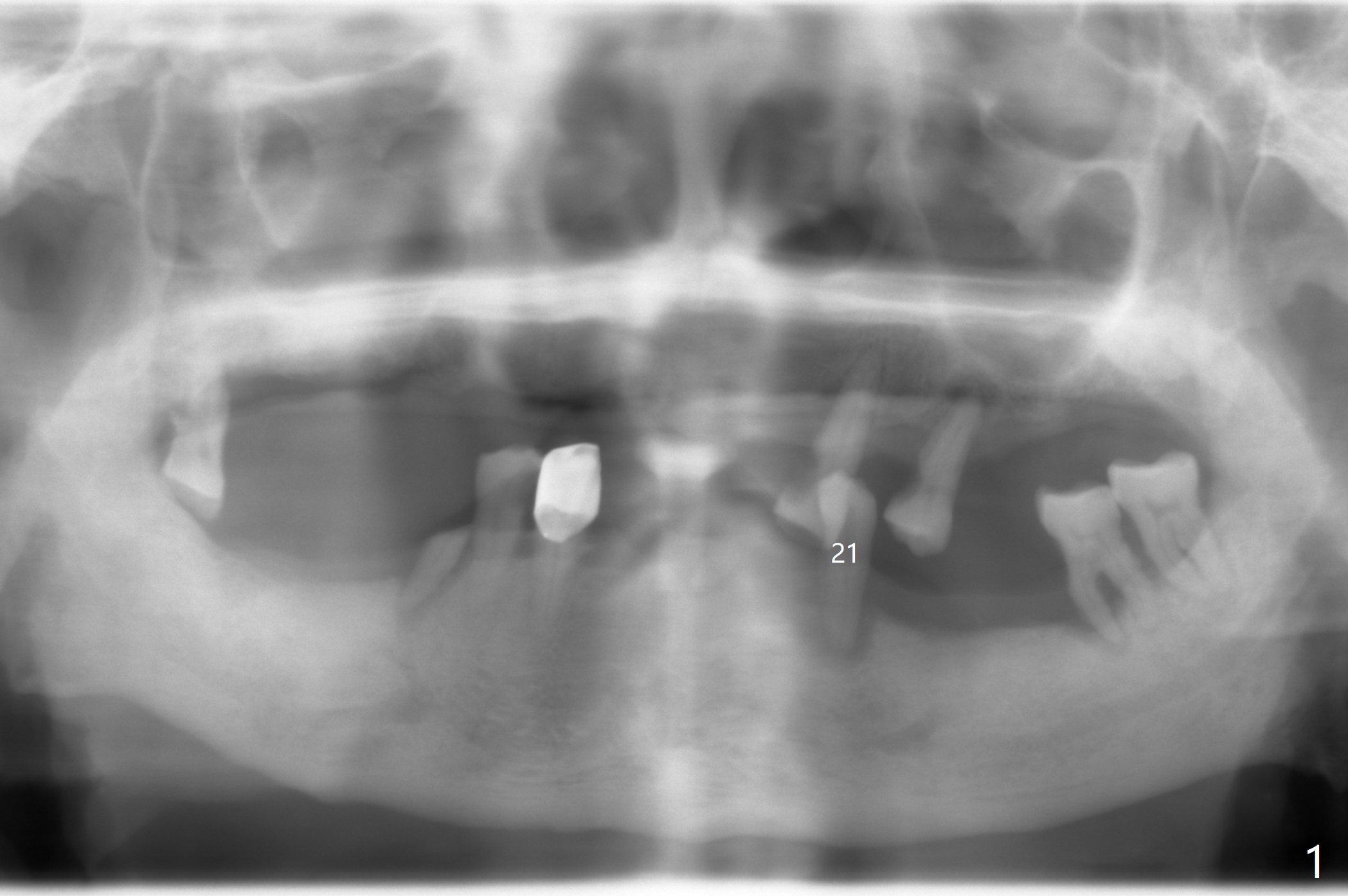
Implant Retained RPD
A 74-year-old man has RPDs to replace missing teeth (Fig.1). Recently the tooth #21 exfoliated. After placing 3.8x12 or 14 mm implant (Fig.2), a ball abutment is to be inserted (2 or 4 mm cuff). Truncate the root of the exfoliated tooth and use hard red acrylic to fixate the crown into the edentulous area of the lower RPD, leaving apical space for soft reline to provide the lightest RPD retention while the implant is osteointegrating. The soft reline can also solve food retention underneath RPD. When the implant heals, switch to hard reline and fixate a housing for the ball abutment. #15 blade will be needed to remove the higher mesial crest (Fig.2 white area) so that the latter will be even the distal one (*). Last identify 3 vital structures associated with the surgery (Fig.2: yellow, red and pink dashed lines). What will happen if each one of them gets injured?
Return to Lower Premolar Immediate Implant, Armaments Xin Wei, DDS, PhD, MS 1st edition 02/24/2018, last revision 03/02/2018