![]() |
![]() |
![]() |
![]() |
![]() |
![]() |
囊肿切除术
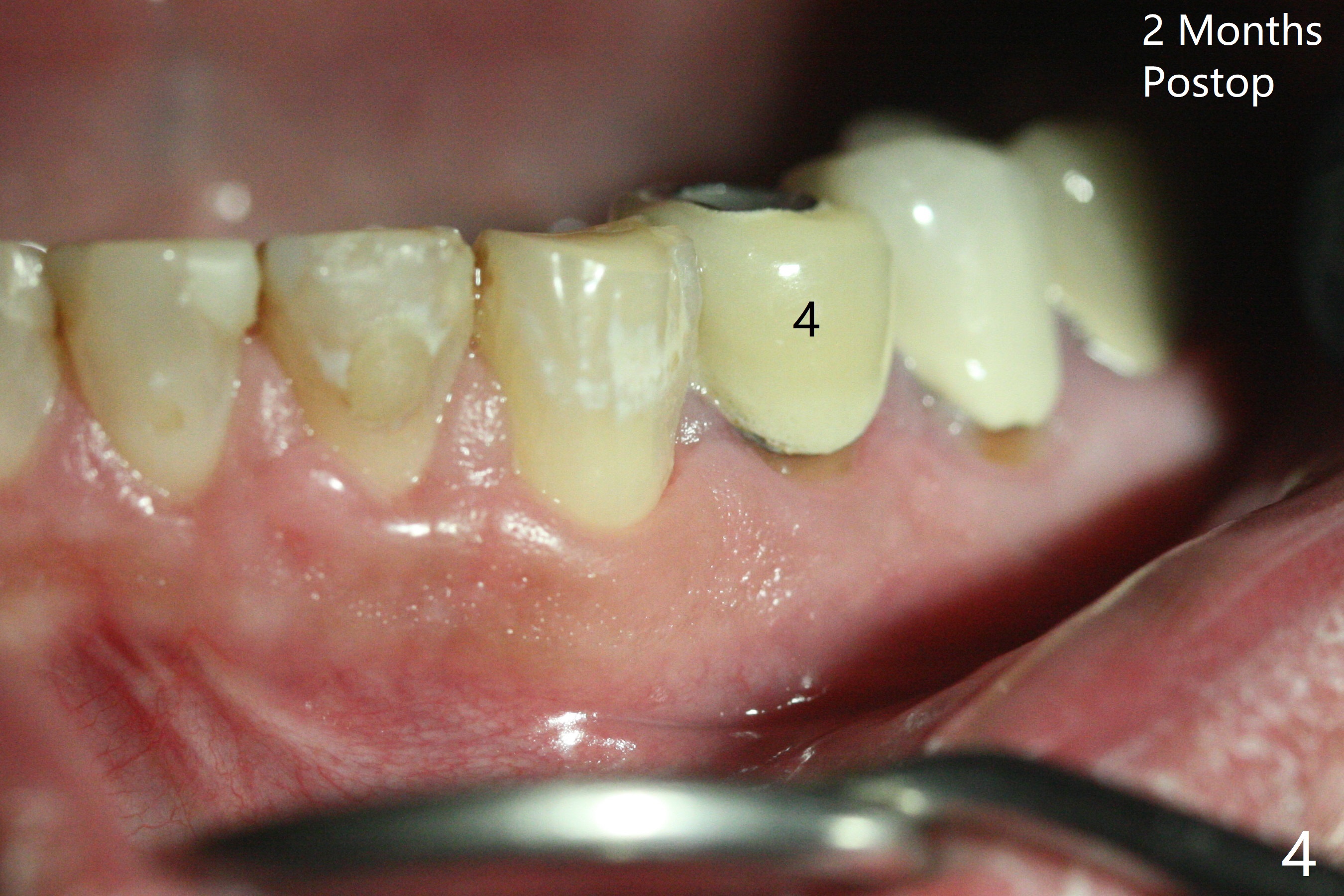
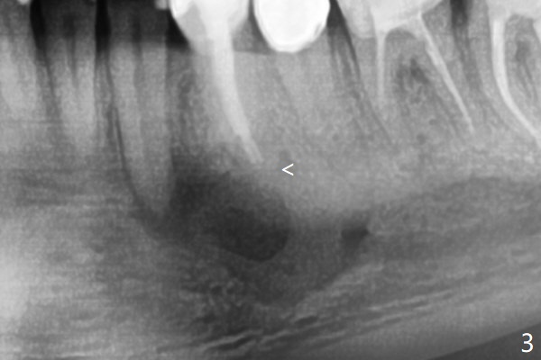
术前冷和电牙髓活力测定显示左下3活髓,不得不做一个长切口和附加切口(图二:>),在暴露颏神经后,在4根尖做囊肿切除术(图一),好像上颌窦外提升,使用上颌窦提升术器械才把囊肿挖出来,不同之处是颊侧骨壁特别厚,为了容易去除4根尖舌侧囊肿,做了根切(图三:<,与图三 ' (术前)对比),但是没做倒充,觉得根管充填完整。并且填入不少粘性骨块(图三)。病理报告:Left Mandibular Body, #21, Excisional Biopsy: Benign fibrous and granulation tissue with acute and chronic inflammation, consistent with periapical granuloma. Negative for odontogenic keratocyst and unicystic ameloblastoma. 左下颌骨体部,21号牙,切除性活检:良性纤维和肉芽组织伴有急性和慢性炎症,与根尖周围肉芽肿一致。牙源性角化囊肿和单房性造釉细胞阴性。术后两个月伤口愈合(图四),骨粉好像安居乐业(图五:*)。
Return to No Deviation Xin Wei, DDS, PhD, MS 1st edition 09/15/2020, last revision 11/04/2020