![]() |
![]() |
![]() |
![]() |
Amnion-Chorion Membrane for Socket Preservation
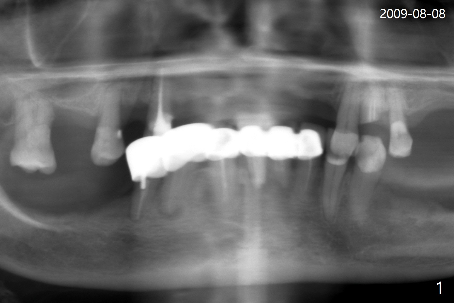
A 85-year-old woman has had poor dentition (Fig.1). She requests extraction of the tooth #21 with crown fracture (Fig.2 <) and PARL (*). Although the buccal plate is low, Vanilla/Osteogen mixture is used for socket preservation (Fig.3 *), while BioXclude is used to cover the socket opening. Three to four 5-0 PGA sutures appear to be able to close the socket. It is expected that the membrane with several growth factors facilitates wound healing. It seems that the bottom of the socket is not fully packed with the bone graft (Fig.3 ?). Bone condenser should have been utilized. The socket appears to heal (due to BioXclude?) with minor buccal plate collapse 1 week postop (Fig.4). Titanium membrane should have been used.
Return to
Lower
Premolar Immediate Implant
Trajectory II
Xin Wei, DDS, PhD, MS 1st edition
10/08/2019, last revision
10/16/2019