![]() |
![]() |
![]() |
|
![]() |
![]() |
![]() |
![]() |
![]() |
![]() |
![]() |
|
![]() |
![]() |
||
Bone Trimmer Also Deviates
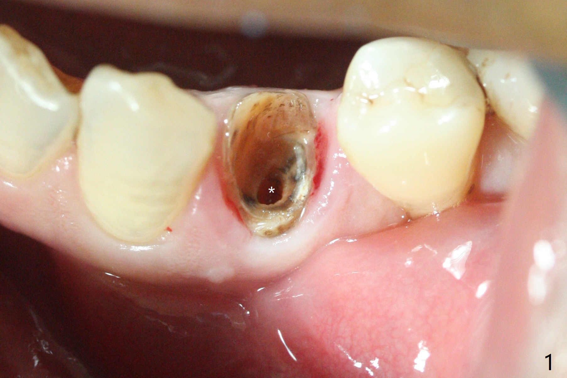
Three months post guide fabrication (coronavirus outbreak), the patient with loose post/crown returns for #21 extraction and immediate implant with guide (Fig.1 (*: post space)). In fact the root stump is flattened with diamond bur and 9 mm bone trimmer with guide before point drill. When the osteotomy finishes with 3.5x13 mm drill (under drilling with 10.5 mm offset), it has deviated buccal (Fig.2, 3,4); the outline of the bone trimmer mark is labeled by arrowheads in Fig.2. It appears that the center of the bone trimmer is dictated by that of the post space, as compared to Fig.1 *). When the root is removed except buccal shield (assuming that the deviation was due to the uneven surface of the root stump), the osteotomy is redone with guide, but remains buccal. Finally with buccal shield removal, a new lingual osteotomy is created free hand for a 4.5x11 mm implant (Fig.5) with 2-3 mm buccal gap for bone graft (Fig.6 * (literally)). In brief, bone trimmer also deviates according to resistance, basically irrelevant to the guide sleeve. The immediate provisional is intentionally removed 5 days postop to check whether a piece of gauze is retained in the socket as a gingival retraction cord for temporary crown fabrication; the buccal gap is kept with bone graft (Fig.7 *). No foreign body is in place. The margin of the abutment seems quite subgingival (Fig.8 *), but re-trimmed and polished provisional looks harmonious with the surrounding gingiva and the opposing dentition (Fig.9,10). The patient returns for prophy 2 months postop; the immediate provisional is removed for trimming and polishing. The bone graft seems to be integrated into a part of the gingiva (Fig.11 >). The abutment cuff appears to be too short.
Return to
No Deviation
Chinese
Next Case
Xin Wei,
DDS, PhD, MS 1st edition 06/14/2020, last revision
10/25/2020