![]() |
![]() |
需要口矫?
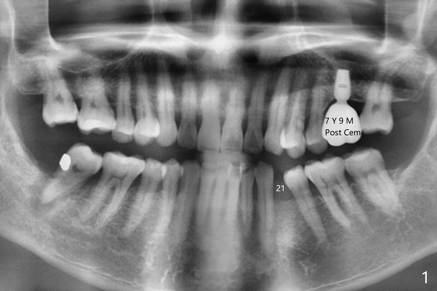
63岁男左上第一磨牙种植牙冠粘固后7年9月,终于同意在21号牙种植(图一),好像近远中间隙突然变小到不得不做牙齿矫正,其实下前牙拥挤(图二),可以关闭第一前磨牙间隙,或者推第二前磨牙和两个磨牙远中增加空间。缺牙间隙大约4毫米,能单纯植入2.5毫米一段式植体吗?而两旁牙齿邻面稍加修改来解决空间问题?
Return to
Protect
Graft
Xin Wei,
DDS, PhD, MS 1st edition 06/14/2021, last revision
06/15/2021