![]() |
![]() |
![]() |
![]() |
![]() |
使用导板,仍有偏差
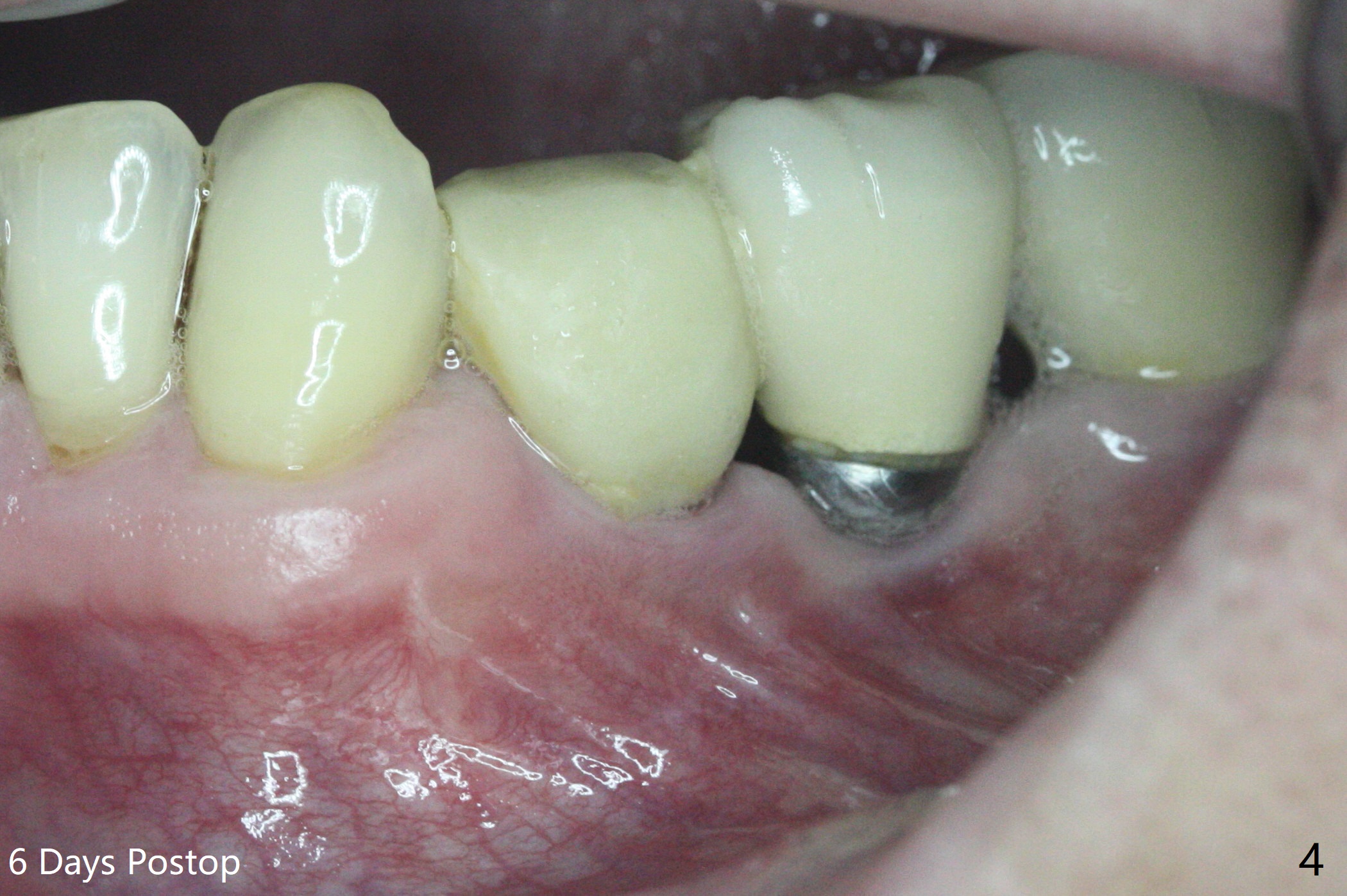
尽管使用导板,钻洞也不快,左下4植体仍旧偏移远中(图一)和颊侧(颊侧间隙比预计小),原因:斜面(图一:箭头),骨质硬,周围牙冠射线折射,导板就位前必须磨第二前磨牙近中面(今后遇到这些情景,选择徒手种植)。庆幸的是牙槽嵴水平两个植体还不是最接近(与根尖相比),粘性植骨(图一:*)但愿能缓解术后骨质吸收。制作临时牙冠后(图二:P),将PRF(图二:^;三:L(舌侧))插入牙冠和骨粉之间。术后六天软组织愈合正常(图四)。术后4个月远中牙槽嵴稍微下降(图五:*)。由于基台偏向远中,为了防止牙冠基台重新插入困难,基台不取出,先拧紧(20Ncm),牙冠口内粘固。
Return to No Caries 导板失误 Reasons of Deviation Torque Xin Wei, DDS, PhD, MS 1st edition 02/05/2021, last revision 06/21/2021