![]() |
|
|
![]() |
![]() ![]() |
![]() |
1-Piece Implant at Narrow Ridge
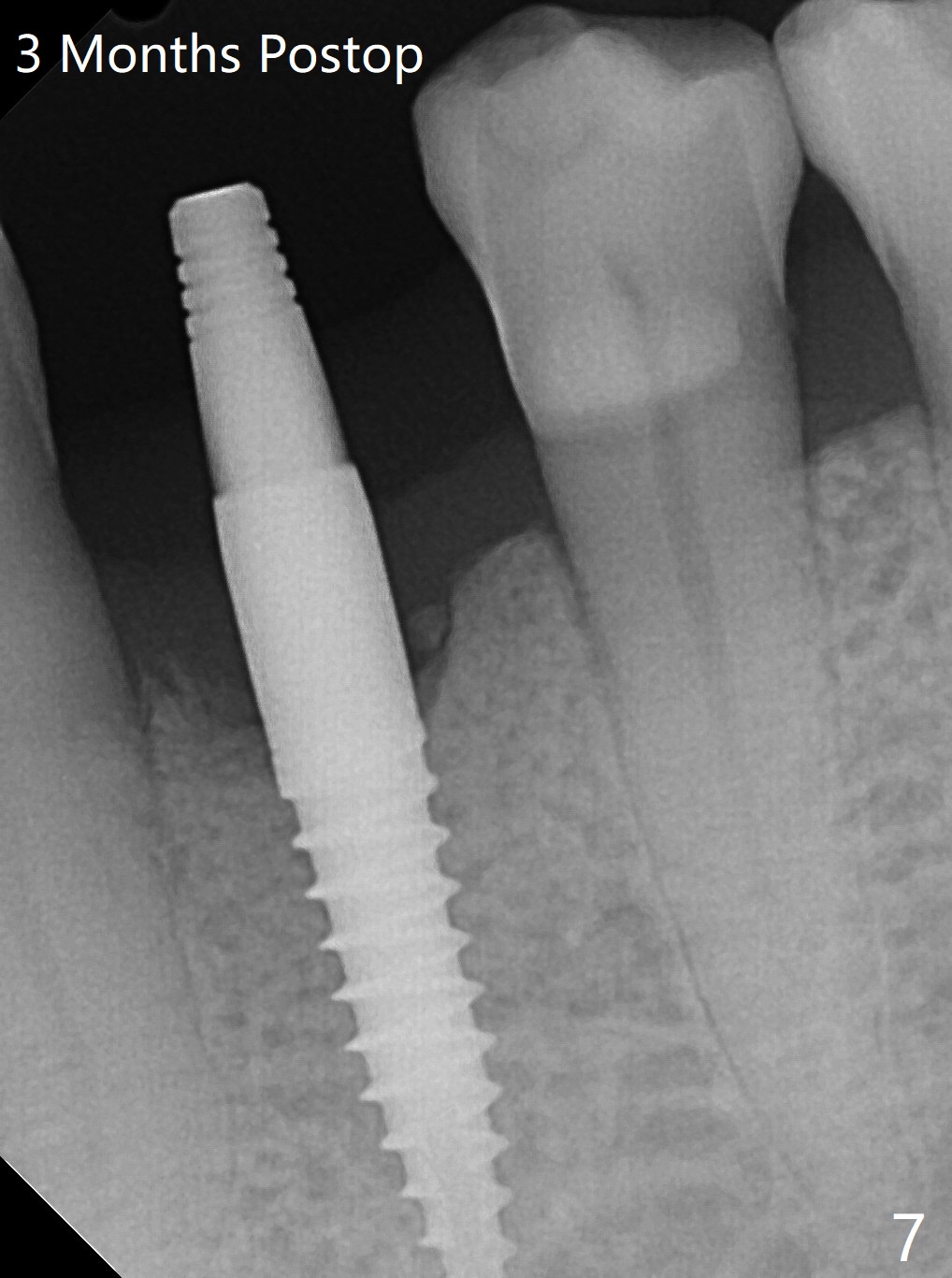
After incision at #21 (Fig.1) and flap elevation, the narrow ridge is reduced and initial osteotomy is made (Fig.2,3). Following moving the osteotomy distal, a 3x12(4) mm 1-piece implant is placed with >35 Ncm (Fig.4-6). Vanilla Graft is placed in the most concave buccal defect (Fig.1,4 *) and over the ridge reduction area (Fig.6 *). No bone loss is observed 3 months postop (Fig.7).
Return to
Lower
Premolar Immediate Implant,
Armaments,
4
13
25
28
Xin Wei, DDS, PhD, MS 1st edition 08/06/2018, last revision 11/13/2018