![]() |
![]() |
![]() |
![]() |
![]() |
![]() |
![]() |
![]() |
![]() |
Socket Preservation with BioXclude
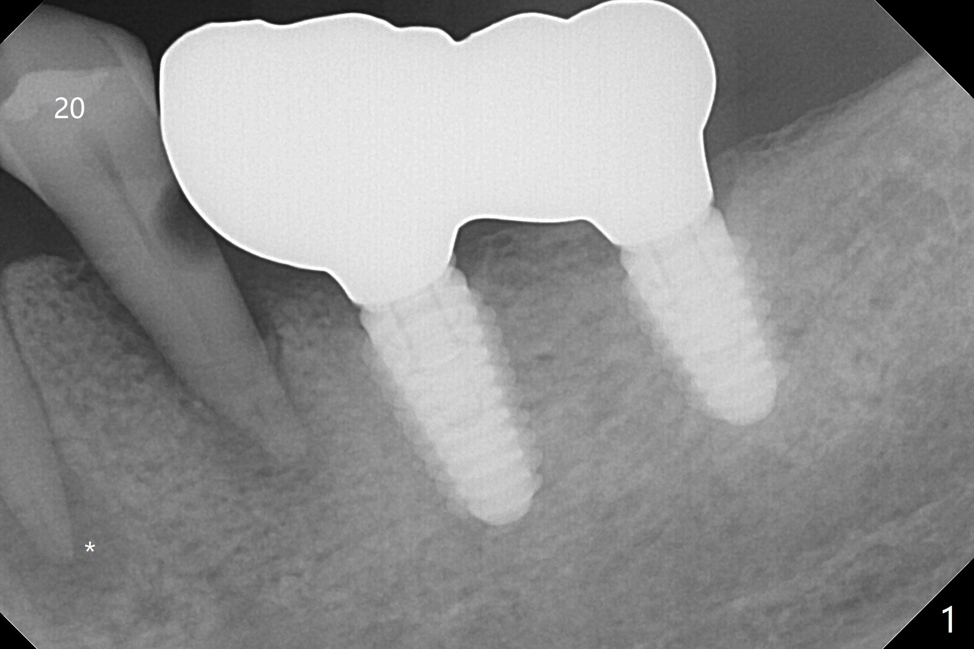
A 73-year-old man with history of stroke presented to office with #20 chewing pain 2 years ago (Fig.1). When he returns today, the tooth #20 has lost, while #21 has mobility (Fig.2), torus mandibularis (Fig.3 *) and severe bone loss, as related to Class V defect (Fig.4). As expected, the buccal plate is lost, the buccal gingiva blanching and bulging due to a curette underneath (Fig.5 *). After placement of allograft in the socket (Fig.6,8 *), a 8x8 mm BioXclude and 4-0 PGA suture are used to close the socket (Fig.7). Periodontal dressing stays in place 10 days postop (Fig.9). The patient is pleased with hemostasis. He is going to return his home state.
Return to
Lower
Premolar Immediate Implant,
Trajectory II
Xin Wei, DDS, PhD, MS 1st edition
12/20/2019, last revision
12/29/2019