![]() |
![]() |
![]() |
![]() |
![]() |
![]() |
Deceivingly Narrow Ridge Top
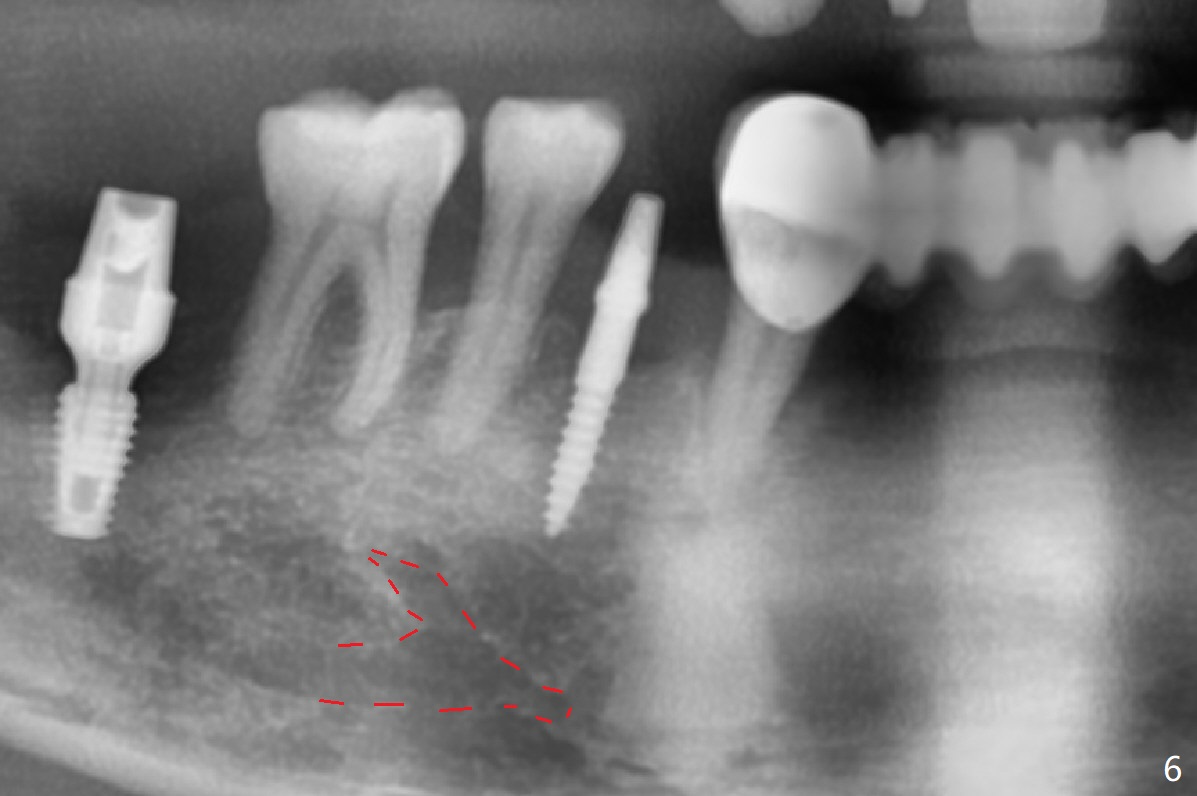
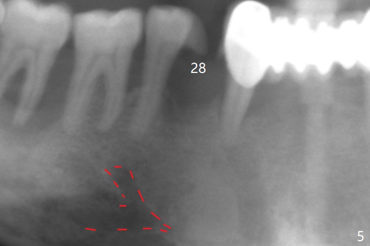
When flaps are raised at #28, the ridge appears to be narrow. Severe ridge resorption occurs 1-2 years post exfoliation. After ridge reduction, osteotomy is initiated mesially (Fig.1 (broken drill as a parallel pin)). A new osteotomy is going to be initiated as indicated by a blue line in Fig.1. It is done close to what is expected (Fig.2). When a 2.5x10(4) mm 1-piece implant is placed <20 Ncm, a major concern is where the Mental Loop is. To answer the question, intraop CBCT is taken (Fig.4). It appears that the ridge has not resorbed. If palpate more lingually (Fig.4 white <), the ridge would be found not so narrow. Preop and intraop panoramic X-ray film show sufficient bone height at the site (Fig.5,6). Low torque may be associated with low postop bone resorption, but it will take long to restore the implant.
Return to
Lower
Premolar Immediate Implant, Armaments
Xin Wei, DDS, PhD, MS 1st edition 05/05/2018, last revision 05/05/2018