![]() |
![]() |
![]() |
![]() |
![]() |
![]() |
![]() |
![]() |
![]() |
![]() |
![]() |
植牙脱落后
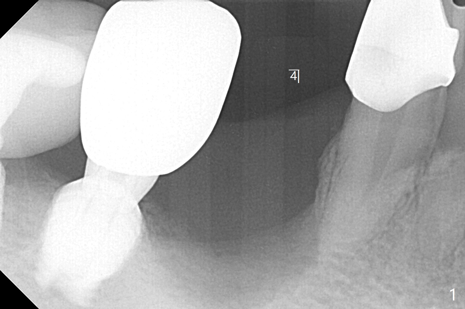
52岁男右下4植体脱落三天回到诊所(图一),植牙创尚未闭锁,顺着开口去除肉芽组织,冲洗,充填皮质骨骨粉(图二,三),颊侧骨板外形恢复(图四,五:*)。重新植入UF植体(5)颊侧还有薄颊侧骨板(图五:>),而6植体周围骨质吸收(图六),植骨好像有希望,植体还在牙槽骨范围,也有利于5植体生存。术后12天伤口愈合(图七)。尽管使用水枪,仍有6植体周围炎,需要治疗(图八)。由于右侧手术,病人不得不用左侧咀嚼,他认为左下4松动,无法挽救。术后3.5个月牙槽嵴和角化龈缩小(图九),需要切开使用导板。术后3.5个月骨粉高度明显下降(图十)。只能植入4x8.5毫米植体(图十一)。
Return to No Caries 手术 Xin Wei, DDS, PhD, MS 1st edition 12/12/2020, last revision 05/07/2021