![]() |
![]() |
||
![]() |
![]() |
![]() |
|
![]() |
![]() |
![]() |
|
![]() |
![]() |
||
![]() |
![]() |
||
Immediate Implant or Augma
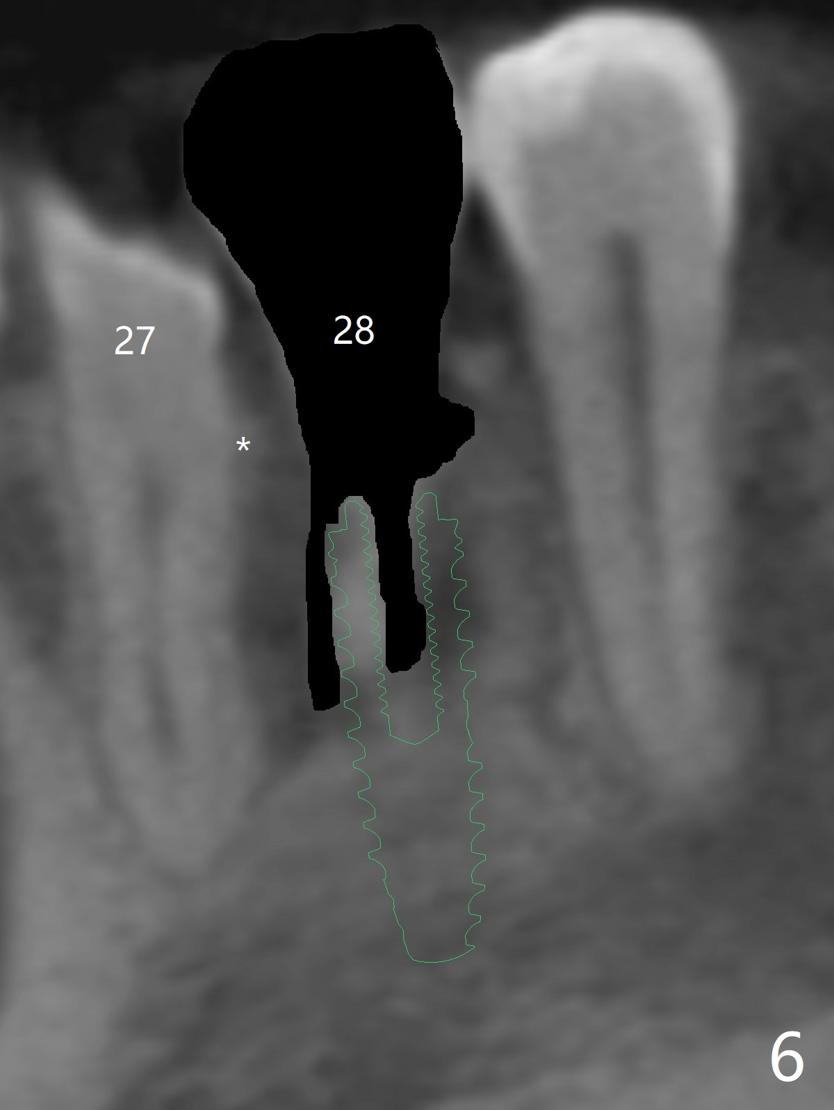
A -year-old man seeks treatment for the tooth #28 with severe bone loss (Fig.1 islands of bone remaining in the mesial surface of the tooth #27, reossification center for grafted bone). The tooth #28 has oblique root fracture (Fig.2 lingual view). One of treatment options is to place an immediate implant (green) at #28 as lingual as possible (Fig.3,4 (coronal section, after extraction (black area))). Sticky bone is placed buccal (Fig.5 red); some of bone graft will be pressed into the space between implant threads (arrowheads, bone and implant contact area expectedly to be higher than delayed placement due to less pressure to the native bone). In spite of severe bone loss between #27 and 28 (Fig.6 (sagittal section) after extraction), the crestal bone appears to exist in the mesial surface of #27 (*). With placement of an abutment (Fig.7 pink) and an immediate provisional (white), bone graft is packed as high as supracrestal (red). Restoration of the crest is expected to be better than socket preservation.
The ridge at #30 is narrow (~ 4 mm buccolingual and ~7 mm mesiodistal, Fig.8). A 4x11.5 mm will be placed. Impression will be taken for guides for #28 and 30. Incision will be made prior to guide seating (Fig.9 occlusal view); initial osteotomy (Fig.10 black circle) will be conducted with guide clockwise (white curved arrow). With removal of the guide, the ridge is split (Fig.11 black line). Osseocondensation drills will be used for ridge expansion with the help of guide (in the middle of the metal sleeve, Fig.12 counterclockwise).
The advantage of the guide for #28 is to secure precise placement of the implant against the dense lingual plate. In case the immediate implant is impossible, place 1 cc Augma in #28 socket for preservation and in the gaps mesial and distal to #30. The guide for #28 is usable 4-6 months postop, since the ridge should not be too wide buccolingual. The depth of implant placement needs to be adjusted though.
Return to
No Deviation
Consult
Xin Wei, DDS, PhD, MS 1st edition
03/01/2020, last revision
06/28/2020