![]() |
![]() |
![]() |
![]() |
![]() |
Orthodontics-Induced Bone Growth
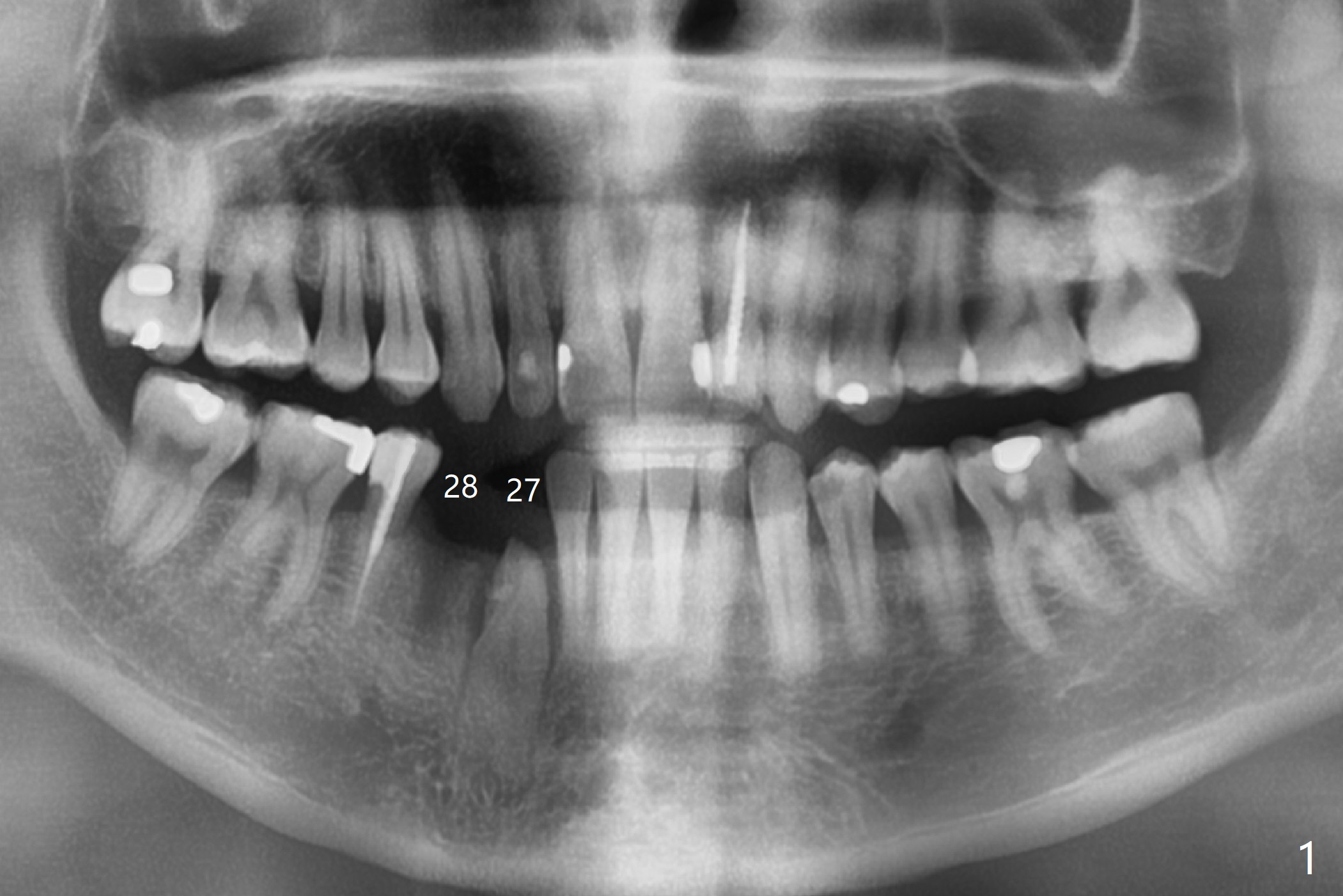
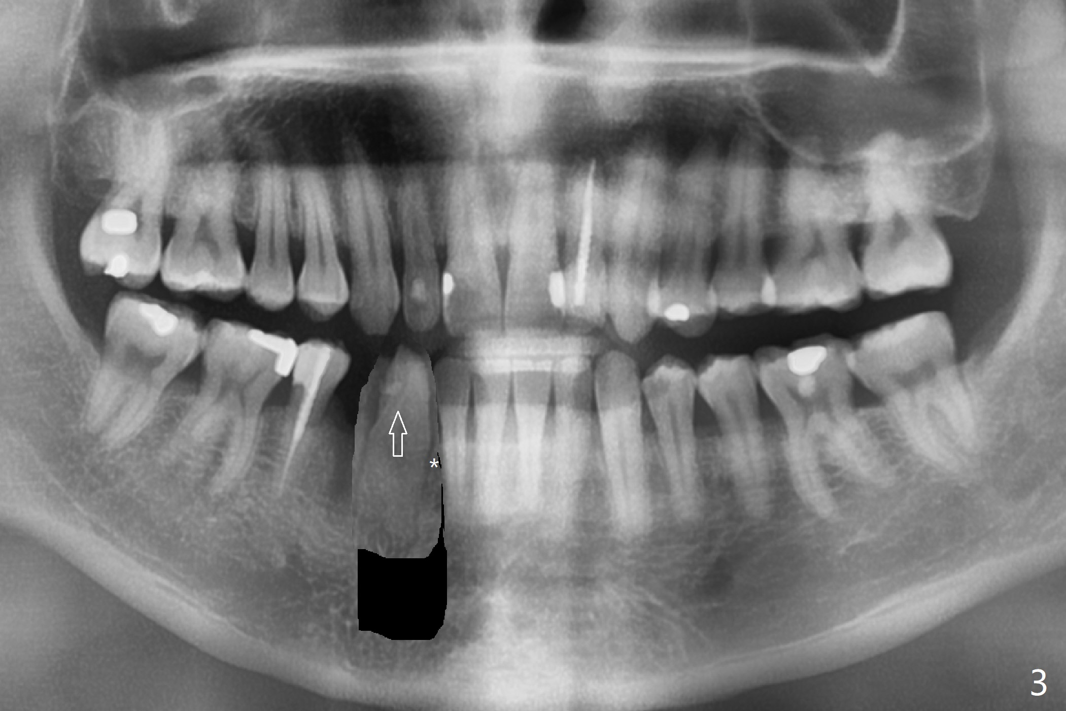
A 30-year-old man requests orthodontic extrusion of the impacted lower right canine and implant at the next site (Fig.1). Since the canine rotates with wider mesiodistal width of the crown (Fig.2 red line), the implant should be smaller and placed distal (Fig.2 red arrow). The extrusion will gain the bone to the distal surface of the lateral incisor (Fig.2, 3*). In fact the tooth #27 is malformed in that the root is split (Fig.4, as compared to the tooth #22 (Fig.5)). Surgical guide will be used for precision.
Return to Lower Premolar Immediate Implant, Trajectory Xin Wei, DDS, PhD, MS 1st edition 03/15/2019, last revision 04/17/2019