![]() |
![]() |
![]() |
![]() |
![]() |
![]() |
![]() |
![]() |
![]() |
![]() |
![]() |
![]() |
![]() |
![]() |
![]() |
Guide Position Error
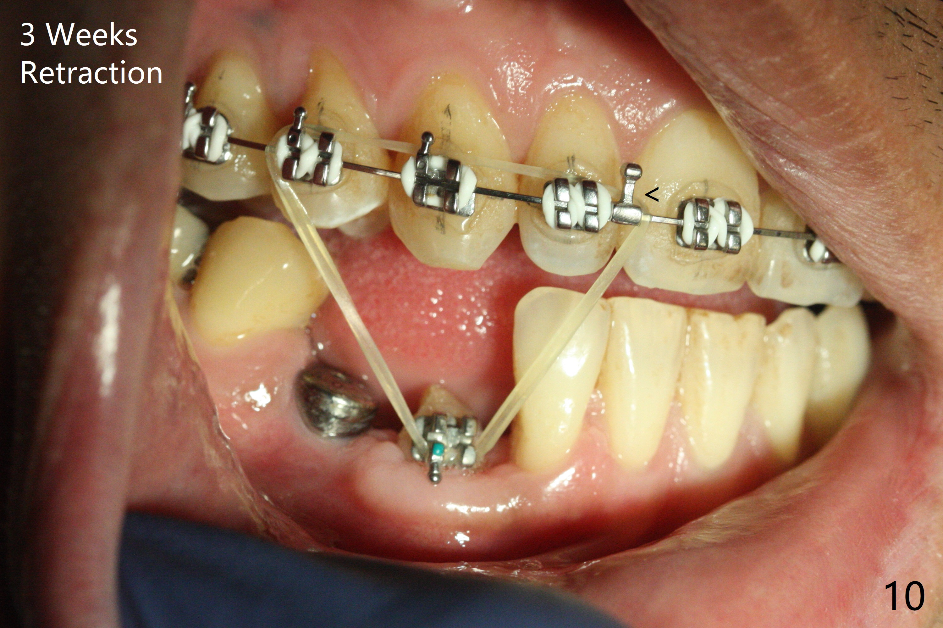
When the surgical guide for #28 is removed, the 4x13 mm implant is found to be superficial and buccal. Part of the buccal mucosa is nonkeratinized. After 1 mm deeper placement of the implant, CT confirms the buccal placement (Fig.1, as compared to design). In fact the guide was doubly checked for fitness prior to osteotomy, but grossly it seemed to be seated properly. The suspicion is related to the trimming at the site of #27 (Fig.2,3 (*), as compared to a mounted model in Fig.4,5 (arrowhead) and the model sent to lab for guide fabrication). The lab agrees to redesign the case. There is a narrow buccal band 1 week postop (Fig.6). The patient is a smoker. The implant was placed buccal (Fig.7, 1 month postop). A new 4x13 mm implant is placed on the top of the 1st line following 3x14.5 mm drill (Fig.8 (35 Ncm)). In fact the implant position is not changed much. Four months post banding (20 ss) and 2 months post 2nd implant placement, the tooth #27 is exposed for bracket; extrusion is initiated (Fig.9). In 3 weeks of retraction, the bracket is supragingival (Fig.10). The canine contacts the distal healing abutment with 2 months of retraction (Fig.11). It seems necessary to initiate lower bracket placement. There is no bone loss 4 months postop (Fig.12). A 4.5x7(4) mm abutment is placed (Fig.13) for a temporary crown as an anchor (Fig.14) to further extrude #27 with continuous inter-arch retraction (to reduce tension upon #26 with severe bone loss (Fig.12)). LR3 extrusion is incomplete, although there is an increase in bone distal to LR2 ~ 10 months of extrusion (Fig.15).
Return to
Lower
Premolar Immediate Implant,
Trajectory
Xin Wei, DDS, PhD, MS 1st edition
04/18/2019, last revision
05/06/2020