![]() |
![]() |
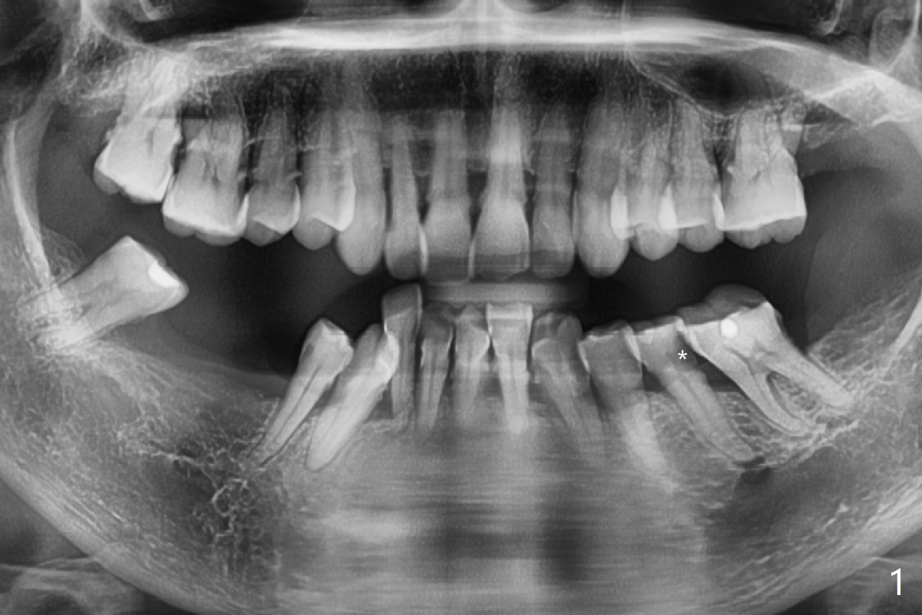
Immediate Implant or Socket Preservation
A 62-year-old woman chooses extraction and implant over RCT at #20 because of DO caries (Fig.1 *). After extraction, osteotomy will be initiated in the mesiolingual slope of the socket to reduce the chance of injury to the Mental Loop (Fig.2 red dashed line). Lower left SRP will be done at the same appointment. In fact the patient insists on extraction and socket preservation. The extraction turns out to be difficult because of tooth fracture and the curved root tip. The socket remains intact. Premolar socket opening is smaller than molar one. Socket preservation should be successful.
Return to Lower Premolar Immediate Implant, Trajectory, Metronidazole Xin Wei, DDS, PhD, MS 1st edition 10/24/2018, last revision 10/25/2018