![]() |
![]() |
||
![]() |
![]() |
![]() |
![]() |
Lindamann Bur M
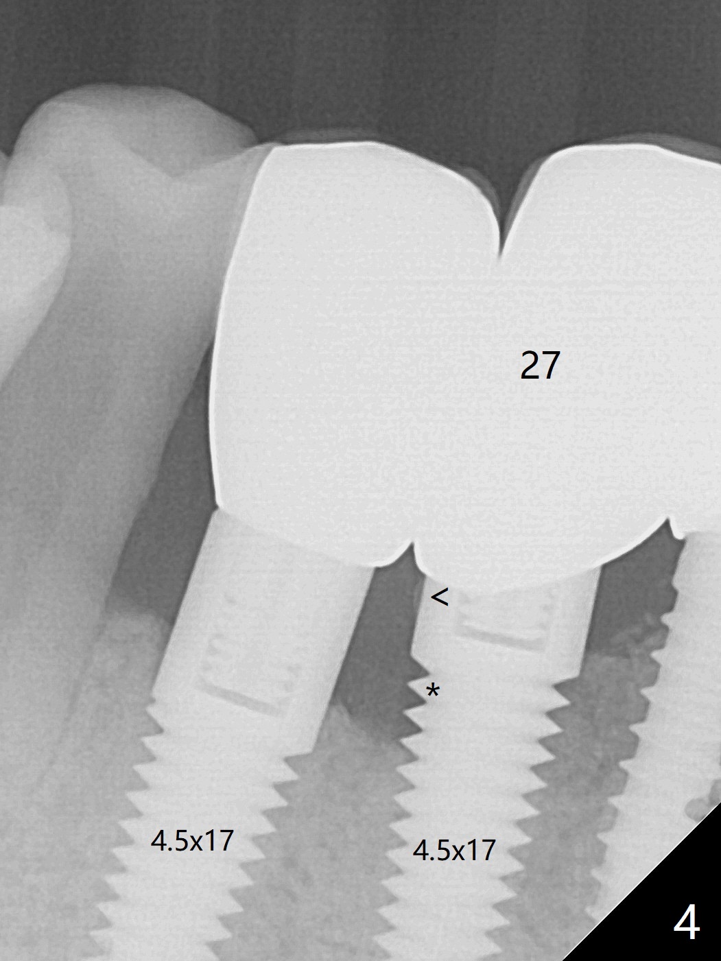
A 67-year-old man with history of chronic periodontitis and bruxism returns to clinic requesting implant for the tooth #20 with mobility (Fig.1). To assure No Deviation of implant placement, Lindamann bur will be used to remove the most coronal of the buccal aspect (Fig.2 *, 3 pink dashed line) of the thick lingual plate (L) during osteotomy. To reduce bone loss (Fig.4 *) associated with residual cement (Fig.4,5 arrowheads) of the tissue-level implants, a bone-level one (SM) will be used at #20. Check whether the nearby implant (#19) has infection clinically and bone graft if needed. Buccolingual threads of the #27 implant are also exposed 3 years 9 months post cementation (Fig.6). An ideal treatment is probably to remove the 4.5x17 mm tissue-level implant and place a 3.8x10 mm bone-level one deeper and a little mesial with bone graft.
Return to
Lower
Premolar Immediate Implant,
Metronidazole
Shield
Waterlase
Xin Wei, DDS, PhD, MS 1st edition
12/24/2019, last revision
12/25/2019