![]() |
![]() |
![]() |
![]() |
2 mm Bone
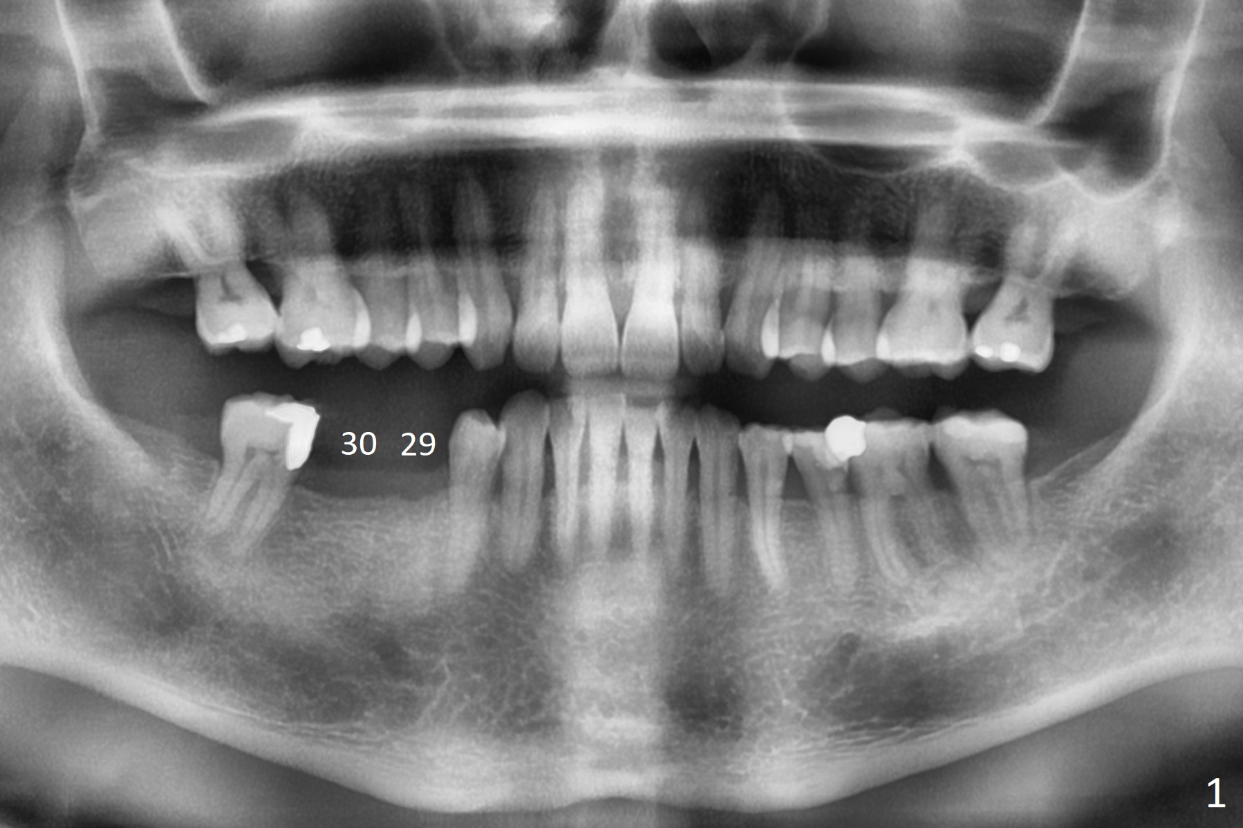
A 63-year-old man requests implants to replace a flipper at #29 and 30 (Fig.1). If torque is >25 Ncm for each implant (Fig.2,3 (2 mm bone buccolingually)), abutments will be placed immediately (using planning kit) for splinted provisional. Take photos for the flipper for a good bye party. Composite will be placed at #31 for MO leakage. Remove a small piece of residual root distal to #30 implant with curettage after osteotomy (Fig.4 <).
Return to
Lower
Molar
Premolar Immediate Implant,
Trajectory
Xin Wei, DDS, PhD, MS 1st edition
06/12/2019, last revision
07/04/2019