![]() |
![]() |
![]() |
![]() |
![]() |
![]() |
![]() |
|
植体长度控制(灵活使用sensor 1 vs. 2,根尖片和咬翼片)
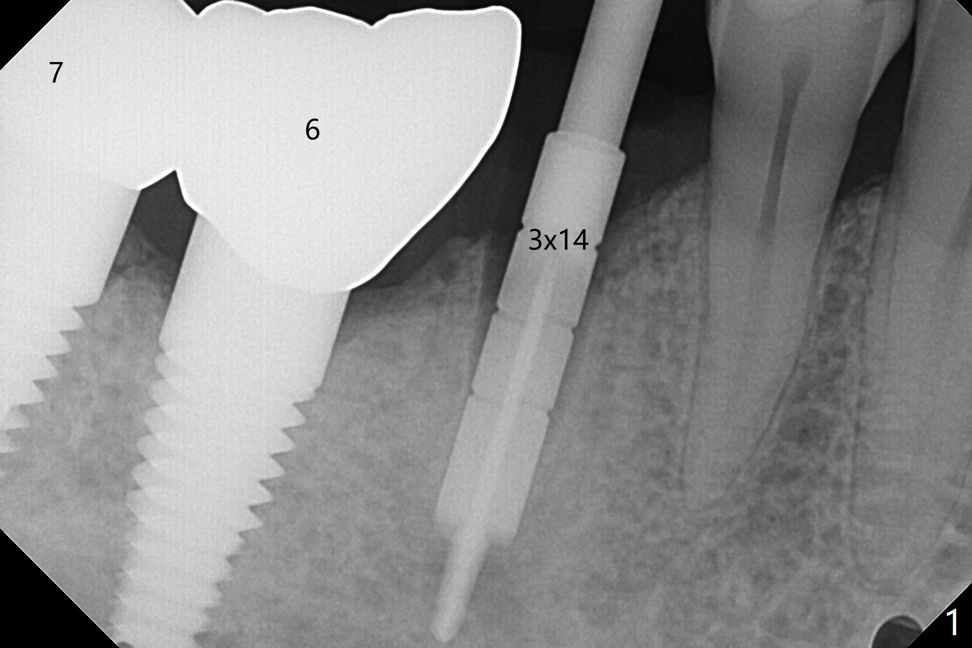
徒手即刻种植缺点是钻洞深度控制不易,尤其是术前设计是骨水平植体,而术中决定使用软组织水平植体。当3毫米reamer达到14毫米深度(骨水平)时,略感到根尖骨质长度。可欣的是4乘17毫米软组织水平植体取得初步稳定性(图二),即刻放置基台(3.5乘5毫米)后,骨粉放入颊侧间隙,有意地把骨粉推向远中(图二:*),好像植体接近颏神经(图二:红色),不过术后没有神经麻木现象,术后分析术前CT表明植体离神经相当远(图三)。术后四个月病人回来做修复,这时我们不关心深部神经了,重点是牙槽嵴周围骨质与植体愈合如何。可以使用sensor 1 (一号传感器,图四:1)和根尖片固定器(黄色,这样减少病人疼痛,恶心,容易放置,拍摄影像好,平行)或者sensor 2(图四:2)加咬翼片固定器(红色,同样容易放置,拍摄影像好,平行,植体螺纹清晰);为了拍摄下颌牙齿多些,传感器放低些(相对于固定器,图四,五),结果得到的信息足够(图六),好像植体已经整合,接着取模。There is no residual cement immediately post cementation with a small escape hole occlusally (Fig.7).
Return to No Caries 最常见并发症 Xin Wei, DDS, PhD, MS 1st edition 10/22/2020, last revision 03/01/2021