![]() |
![]() |
![]() |
![]() |
|
![]() |
![]() |
![]() |
![]() |
|
Bone Expanders, BEB, Cortical Tap
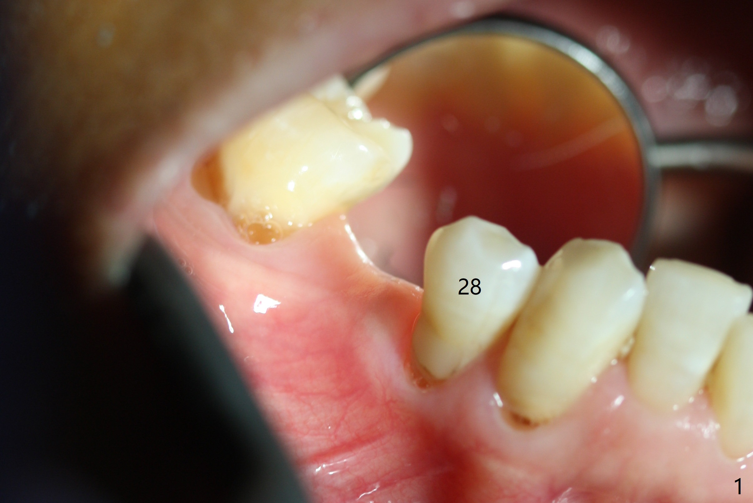
After incision the ridge at #29 is not so narrow as shown in Fig.1. But it is still intact, in contrast to what CBCT shows. Osteotomy is initiated with 1.2 mm drill, followed by 1/1.6, 1.3/2.3 and 1.7/3.1 mm DIO Bone Expanders. In fact mesial and distal crestal slots (BEB: bone expansion and bending) are created by using surgical fissure bur in order to insert the last bone expander in place (10 mm, Fig.2). Following 3.5 mm Cortical Tap, a 3.5x10 mm IS Implant is placed ~ 50 Ncm with clearance from the Mental Loop (Fig.3,4 red dashed line) and slightly subcrestal (Fig.5). The most distal part of the distal slot created for BEB is shown in Fig.5 *. Bone resorption is minimal 4 months postop (Fig.6,7). The implant was apparently placed in the middle buccolingually (Fig.8).
Return to Lower Premolar Immediate Implant, Armaments Xin Wei, DDS, PhD, MS 1st edition 05/04 /2018, last revision 10/15/2018