![]() |
![]() |
|
![]() |
![]() |
![]() |
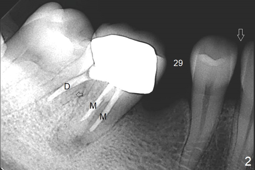
Narrow Space and Narrow Ridge at #29
A 41-year-old slender woman returns for #29 and 30 implants (Fig.1,2) because of a fistula mesiolingual of #30 (Fig.3 arrowhead) several years post RCT. There is no deep pocket at #30. In fact the distolingual canal is missing (Fig.2 (black arrow),3 (DL)). RCT retreatment should solve apical periodontitis. Due to long term of missing #19 and 29, the mesiodistal space is limited with diastema between #28 and 29 (Fig.1, 2 (white arrowhead)). Limited ortho appears necessary prior to, during or post implantation. The ridge at #19 and 29 is not only narrow, but also short. It seems appropriate to place short 2- and 1-piece implants, respectively (Fig.5,4). As a matter of fact, there is open margin of the crown at #30 (data not shown). If the crown is to be removed prior to RCT, implantation is conducted before ortho, since the provisional can be made narrow mesiodistally.
Return to
Lower
Premolar
Molar Immediate Implant,
Armaments,
Ortho Cases
Xin Wei, DDS, PhD, MS 1st edition 06/09/2018, last revision 01/25/2019