![]() |
![]() |
![]() |
![]() |
Submandibular Fossa
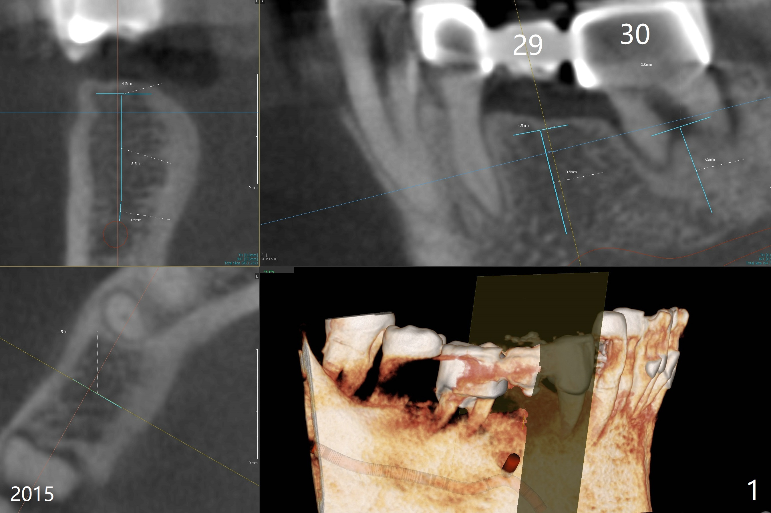
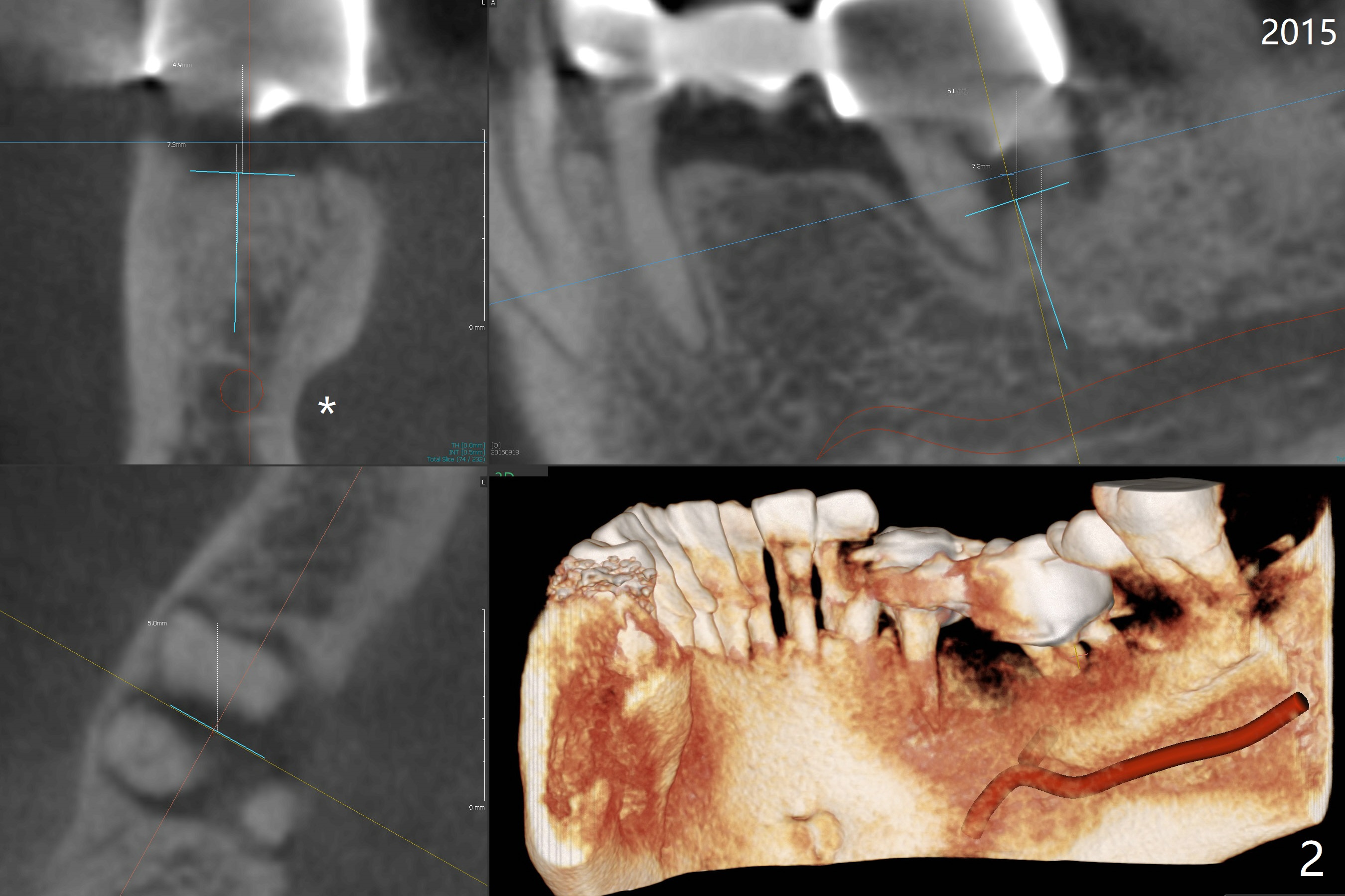
A 55-year-old man had #30 extracted and #29 pontic removed ~ 3 months ago (Fig.1,2). Short implants are to be placed (4.5x8.5 and 5x7.3 mm) with guide. Pay attention to the submandibular fossa (Fig.2 *) as related to the site of #30. New CT (Fig.3,4 (2018)) shows that implants will be 4x7.3 and 5x7.3 mm.
Return to
Lower
Arch
Molar
Premolar Immediate Implant,
Trajectory,
18-20,
2
Xin Wei, DDS, PhD, MS 1st edition 09/29/2018, last revision 10/13/2018