![]() |
![]() |
![]() |
![]() |
4 Implant-supported Provisional FPD
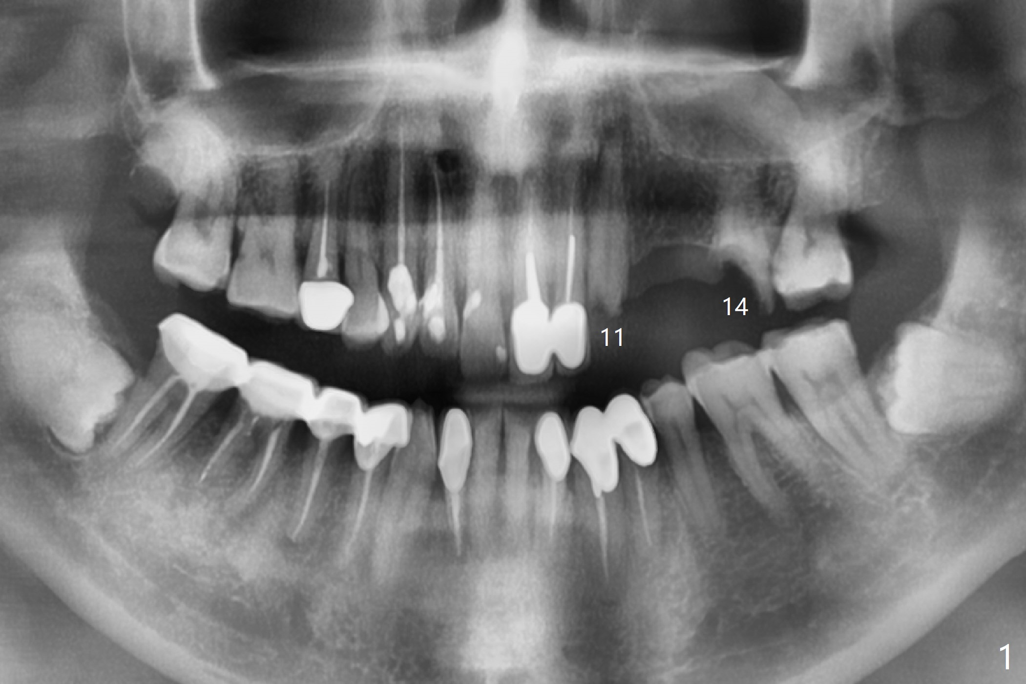
A 77-year-old man has multiple restoration with long roots (suggesting bruxism, Fig.1). The #11-14 FPD dislodges. Twenty days postop, he will travel to his home country and stays for 2 months. Four months postop, he will leave again. To strengthen provisional FPD stability and early final restoration, each implant will be placed at each edentulous area. The longest bone-level implant will be placed at #11 with bone height >20 mm (Fig.2). Since the bone width (buccopalatal) is 4 mm at #12, a 2x14(2) mm 1-piece implant is to be inserted (Fig.3); while a 3.8x10 mm 2-piece one at #13 with underprep because of low density. As the septal bone height is limited at #14 (Fig.4), a 5x8.5 mm implant is going to be placed.
Return to
Upper
Canine,
Molar Immediate Implant, Prevent
Molar Periimplantitis (Protocols,
Table), Armaments,
Clindamycin
Xin Wei, DDS, PhD, MS 1st edition 05/05/2018, last revision 05/08/2018