![]() |
![]() |
![]() |
![]() |
![]() |
![]() |
||
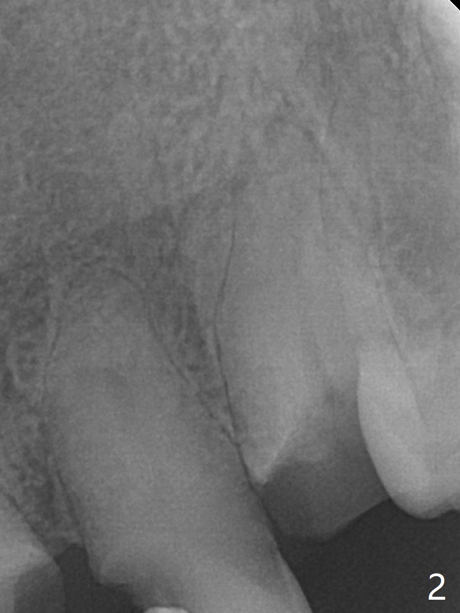
P3作为牙周膜切刀:小钱办大事
64岁男要求拔除左上3(图一,二),将使用Piezo P3 tip(图三)松动牙根,可行?其实图三是G6,used for removal of calculus from a wide plane. G:可能代表general use or general dentistry,而P牙周(图四)。P3(买了好久,不知道用处)特别细长,容易进入牙周膜,但愿在小功率的普通Piezo Scaler (超声洁牙机)作用下,P3能切断牙周膜,午饭后尝试。其实尖牙无症状(图五),中切牙(在侧切牙位置上)因近中深龋造成牙龈炎症,在病人要求下,清除龋坏后,填入临时充填物(图五,六)。
Return to
No
Caries
Xin Wei,
DDS, PhD, MS 1st edition 02/22/2021, last revision
02/23/2021