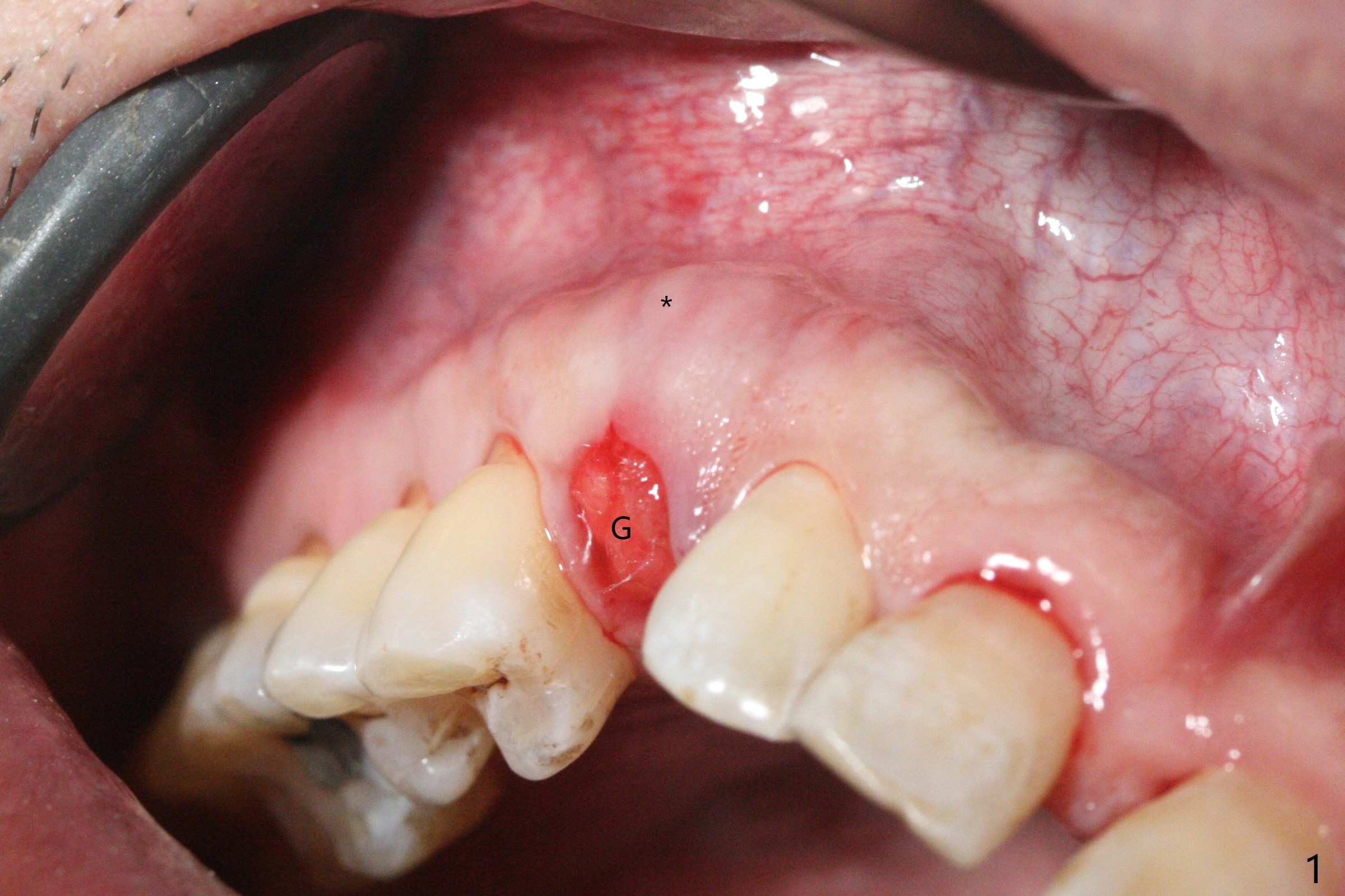
尖牙隆起

右上乳尖牙拔除后,颊侧尖牙隆起仍旧明显(图一:*(牙槽窝塞入止血纱布)),希望通过导板即种和植入粘性骨粉(图二:*)以及即修,这个局部解剖结构能保留下来。至少术后9天是这样(图三,T: 临时牙冠)。Return to Protect Graft Xin Wei, DDS, PhD, MS 1st edition 05/27/2021, last revision 06/05/2021