![]() |
![]() |
![]() |
|
![]() |
![]() |
![]() |
|
Place Bone Graft Before Implant
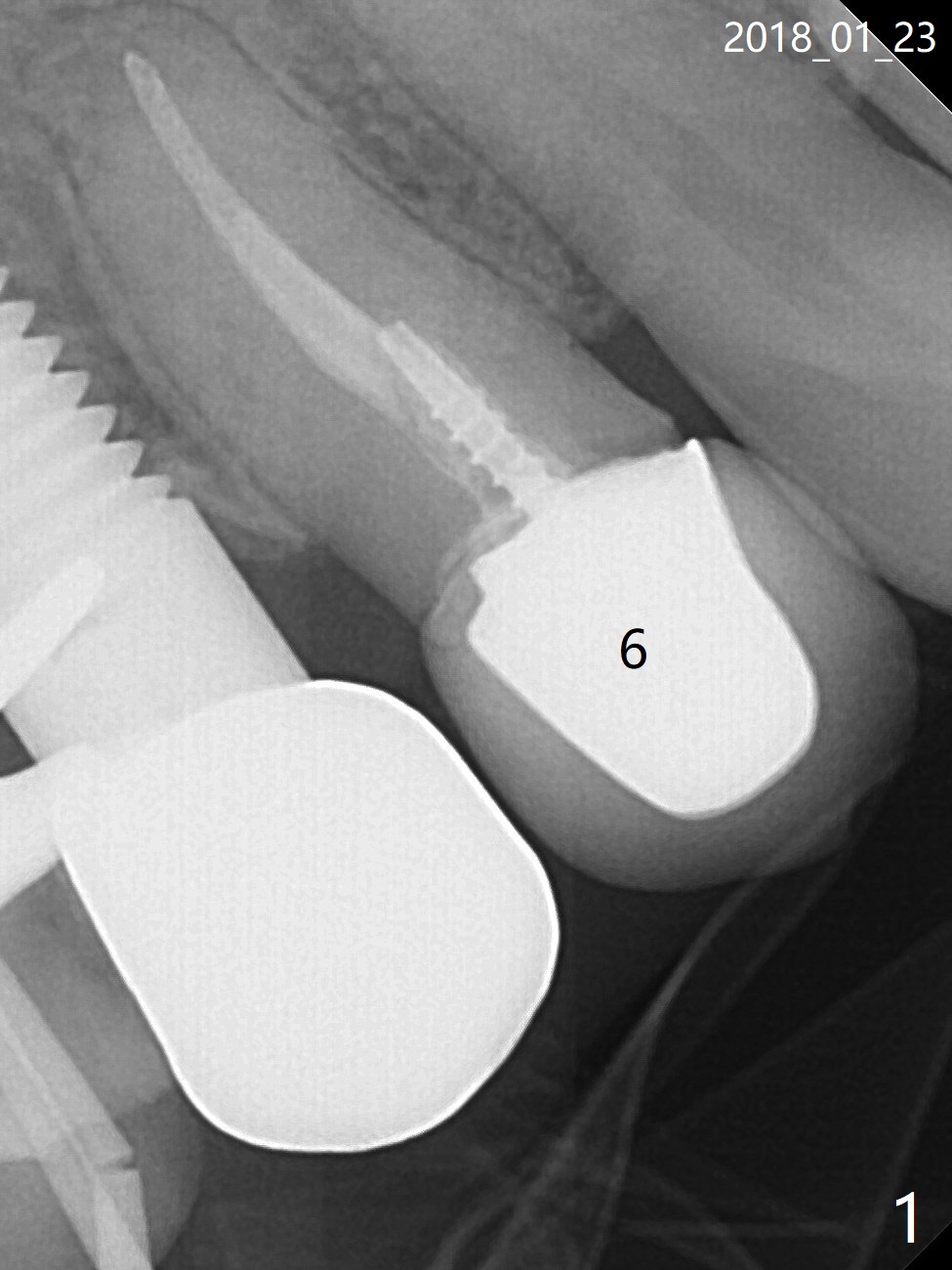
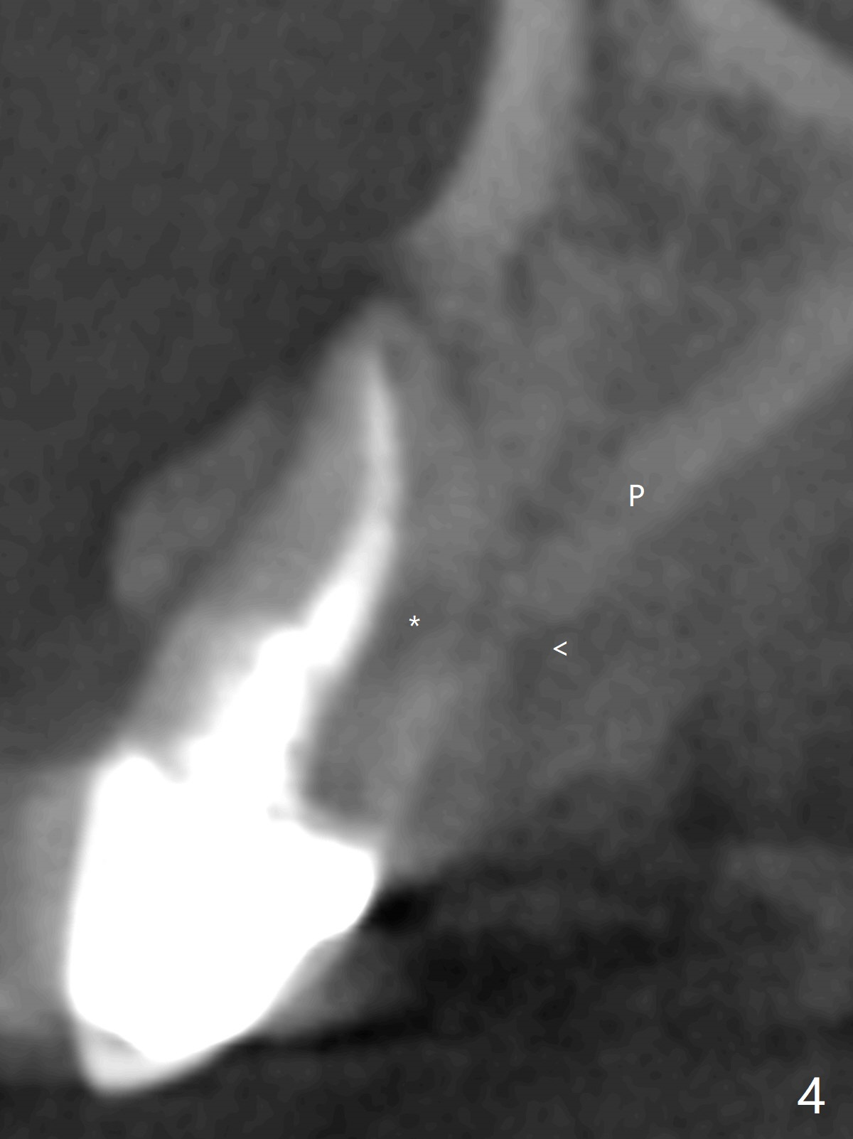
A 56-year-old woman has dislodged #6 crown/post twice in the last 10 years (Fig.1). The root appears to fracture (Fig.2 <), as related to the post (P) and large periapical radiolucency (*). A 3.8x13 mm implant will be placed (Fig.3). PRF membrane and Sticky bone will be inserted while the last drill is in place. Section the root for socket shield. Prepare gingival protection instrument. Reanalysis of CT reveals that the root palatally (Fig.4 *) may cause resorption (<) of the thick palatal plate. The root fracture is supported by profilogram (Fig.5). Therefore the implant should be placed deeper (Fig.6) than that in Fig.3 and shorter if a straight abutment is going to be used (blue (pink: cuff)). In fact the socket is intact when the tooth is extracted. The crown is loose because of post fracture.
Return to
No Deviation
Clindamycin
Shield
Xin Wei,
DDS, PhD, MS 1st edition 07/06/2020, last revision
11/27/2020