![]() |
![]() |
![]() |
![]() |
![]() |
|
Angled Abutments
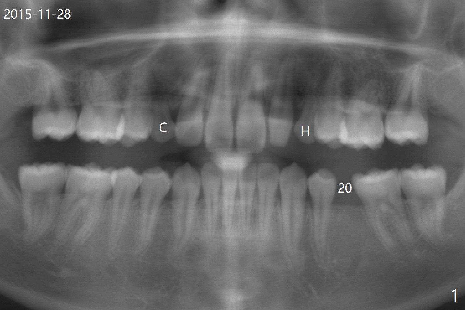
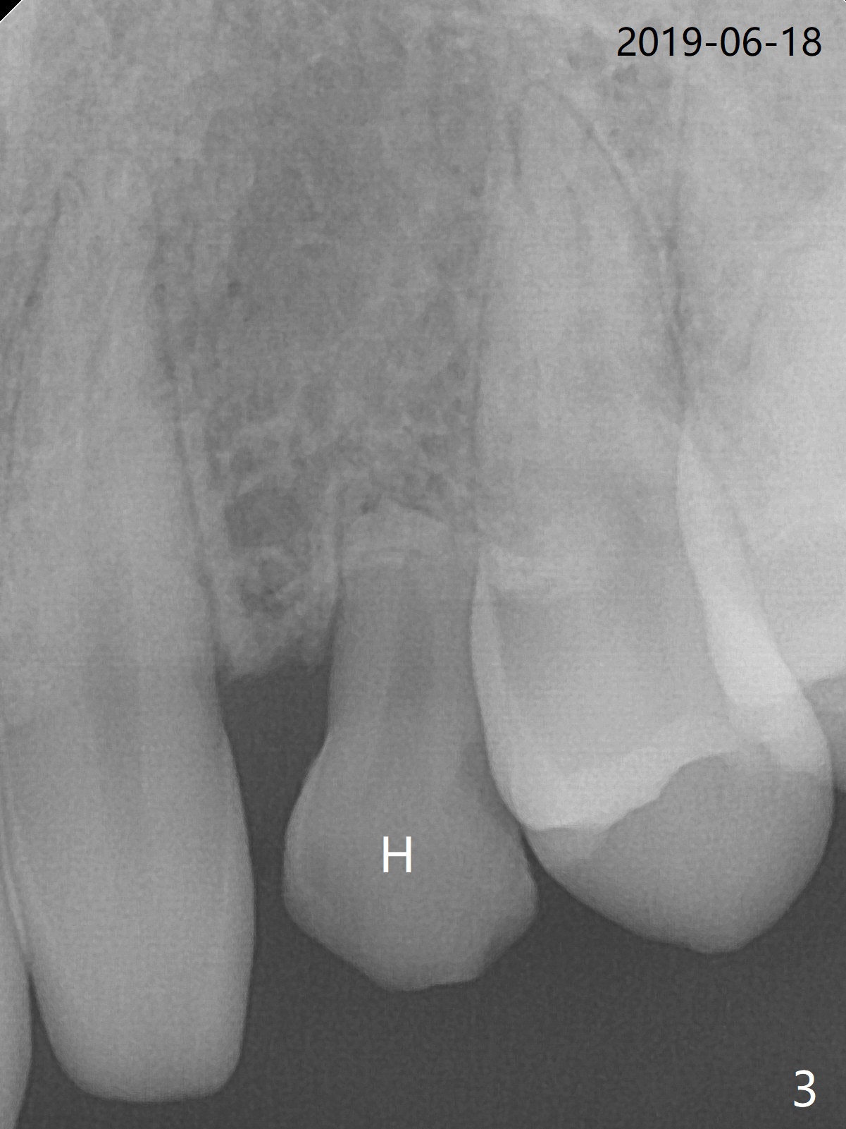
A 20-year-old man requests implant for the loose upper left deciduous canine. Pre-orthodontic panoramus shows 3 implants are needed (Fig.1). Post-ortho PAs indicate root resorption of the upper right deciduous canine as well (Fig.2,3). To reduce radiation, 5x5 cm CBCT is taken for the anterior maxilla, the 1st implant to be placed at #11 in the Thanksgiving this year, while the 2nd one at #6 early next January (Fig.4,5). 1-piece implants may simplify treatment.
Return to
Upper
Canine Immediate Implant
Trajectory II
Clindamycin
Xin Wei, DDS, PhD, MS 1st edition
10/05/2019, last revision
10/20/2019