![]() |
![]() |
![]() |
Large Incisive Canal
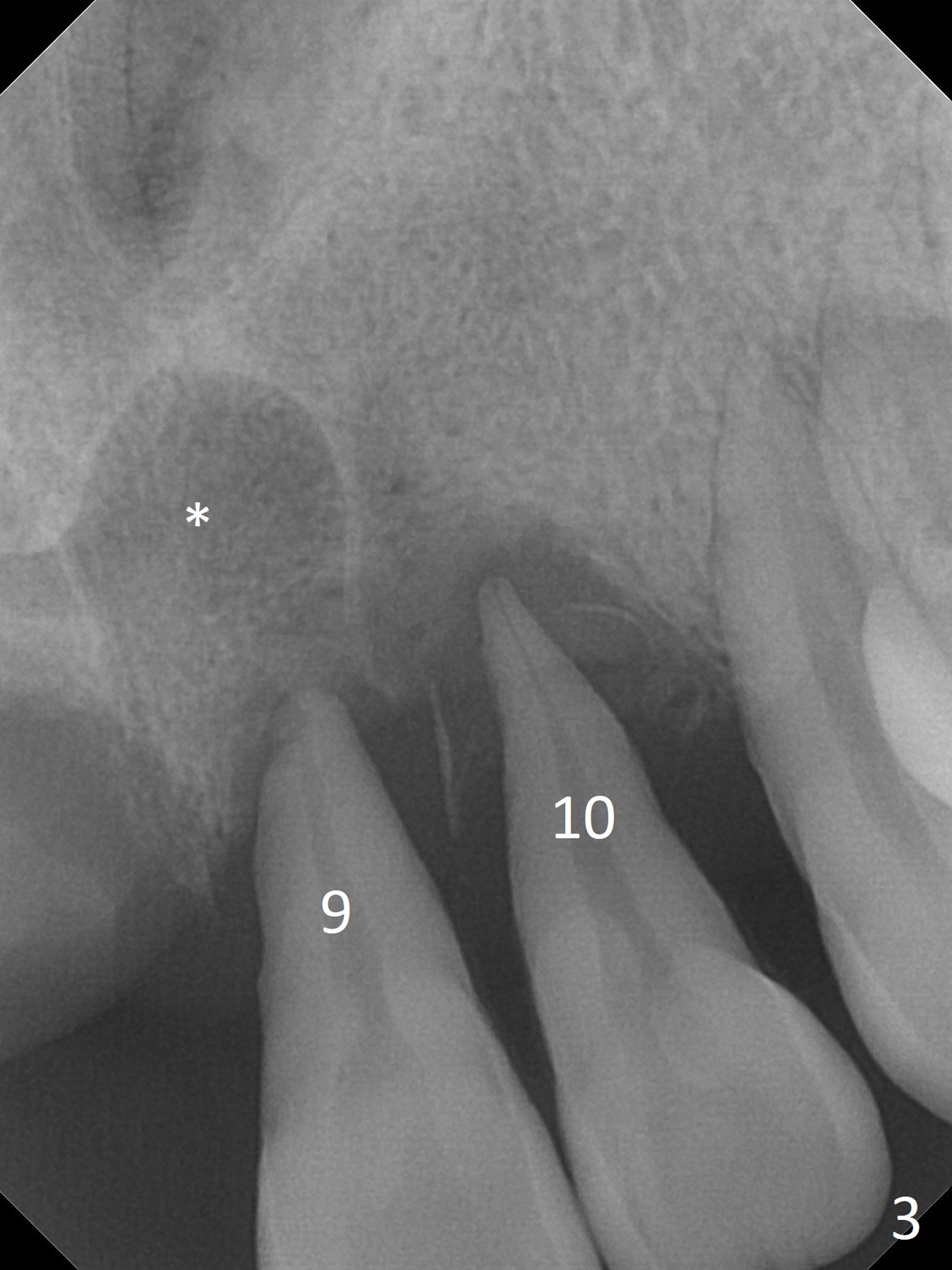
A 41-year-old woman returns to clinic with missing upper right incisors and mobile left ones (#9 fistula (Fig.1 *) 2 years post cementation of 23-25 implant FPD (Fig.2-3). The Incisive Canal is large (Fig.2,3 *). Place all of the 4 implants distally (2.5 or 3x10 or 12 mm (at 8,9), x12 or 14 mm (7,10)) and as deep as possible. The cuff is most likely 4 mm.
Return to
Upper
Incisor Immediate Implant,
Armaments,
Clindamycin,
Atrophic
Ridge
Xin Wei, DDS, PhD, MS 1st edition 12/16/2017, last revision 04/20/2020